Houston Methodist MD's Avatar

Houston Methodist MD

@houstonmethodistmd.bsky.social

16 Followers  |  1 Following  |  36 Posts  |  Joined: 04.12.2024  |  1.8125

Latest posts by houstonmethodistmd.bsky.social on Bluesky

Preview
New IgG Food Sensitivity Test Shows Promise in Managing Irritable Bowel Syndrome Elimination diets guided by a novel IgG food sensitivity test can reduce abdominal pain and improve symptoms in patients with irritable bowel syndrome.

Elimination diets guided by a novel immunoglobulin G (IgG) food sensitivity test can reduce abdominal pain and improve symptoms in patients with IBS, according to a study co-authored by our Chief of Gastroenterology Dr. Eamonn Quigley.

06.10.2025 14:00 β€” πŸ‘ 0    πŸ” 0    πŸ’¬ 0    πŸ“Œ 0
Preview
Houston Methodist partners with UTMB in $29 million NIH award to advance translational science across the Gulf Coast Houston Methodist has joined forces with the University of Texas Medical Branch (UTMB), Texas Southern University and the University of Houston-Clear Lake on a transformative new initiativeβ€”the Greater Gulf Coast Translational Science Alliance (GGCTSA) - to accelerate the translation of...

We've joined forces with the @utmbhealth.bsky.social on a transformative new initiativeβ€”the Greater Gulf Coast Translational Science Alliance - to accelerate the translation of groundbreaking scientific discoveries into real-world health improvements across the Gulf Coast region.

03.10.2025 14:00 β€” πŸ‘ 0    πŸ” 0    πŸ’¬ 0    πŸ“Œ 0
Preview
Telehospitalists: Enhancing Overnight Care at Academic Hospitals Telehospitalists can make a big impact on rural hospitals, but they can also add great value to big academic health care systems like Houston Methodist.

The Houston Methodist program deploys virtual hospitalists to deliver care to patients admitted overnight when there are fewer hospitalists on site.

01.10.2025 14:00 β€” πŸ‘ 0    πŸ” 0    πŸ’¬ 0    πŸ“Œ 0
Preview
Common Misconceptions, Missed Opportunities in the Management of Irritable Bowel Syndrome Common Misconceptions, Missed Opportunities in Management of Irritable Bowel Syndrome

A new study, co-authored by our Chief of Gastroenterology Dr. Eamonn Quigley, aims at helping clinicians better implement findings from decades-long research that has increased the understanding of IBS' pathophysiology.

29.09.2025 14:00 β€” πŸ‘ 0    πŸ” 0    πŸ’¬ 0    πŸ“Œ 0
Preview
Redesigning Comfort: Innovations Transforming Patient Care & Dining Some of Houston Methodist's most rewarding innovations don't involve high tech. They're about making the patient environment feel a little closer to home.

Some of our most rewarding innovations don't involve high tech. From thoughtful anticipation of needs to personalized dining options, we’re rewriting what patient comfort means in the hospital.

26.09.2025 14:00 β€” πŸ‘ 0    πŸ” 0    πŸ’¬ 0    πŸ“Œ 0
Dr. Mazen Noureddin

Dr. Mazen Noureddin

Our hepatologist Dr. @NoureddinMD will discuss non-invasive testing for liver disease at #TSGE2025.

14.09.2025 13:00 β€” πŸ‘ 0    πŸ” 0    πŸ’¬ 0    πŸ“Œ 0
Preview
Cincinnati Zoo says new vaccine helped save the lives of two of its young elephants The Cincinnati Zoo announced Sanjay and Kabir, two of their young male elephants, have tested negative for Elephant Endotheliotropic Herpesvirus after previously testing positive.

A vaccine, developed through a partnership between the @houstonzoo.bsky.social and @bcmhouston.bsky.social, and manufactured by our RNACore, has proven effective in helping two young elephants from @cincinnatizoo.bsky.social recover from Elephant Endotheliotropic Herpesvirus (EEHV).

11.09.2025 14:00 β€” πŸ‘ 0    πŸ” 0    πŸ’¬ 0    πŸ“Œ 0
Preview
Houston Methodist Leads Phase 2 Clinical Trial for Achilles Tendinopathy Houston Methodist is participating in a groundbreaking international trial evaluating a JAK inhibitor to treat mid-portion Achilles tendinopathy.

With Dr. Jason Ahuero as our PI, we're one of three clinical sites in the U.S. participating in an international Phase II trial evaluating an alternative approach to treating mid-portion Achilles tendinopathy using locally delivered microspheres.

01.09.2025 14:00 β€” πŸ‘ 0    πŸ” 0    πŸ’¬ 0    πŸ“Œ 0
Preview
Houston Methodist Teams Up with NASA to Probe Spaceflight's Impact on Sinonasal Health Houston Methodist research reveals that a staggering 85% of astronauts aboard the International Space Station (ISS) experience sinonasal complaints.

As humanity pushes the boundaries of space exploration, our researchers, led by Dr. Mas Takashima, are helping answer a surprisingly down-to-earth question: What happens to your sinuses in space?

28.08.2025 14:00 β€” πŸ‘ 1    πŸ” 0    πŸ’¬ 0    πŸ“Œ 0
Preview
New Study Finds Surgical Resection of Single Colorectal Cancer Metastasis to the Lung Significantly Improves Survival For patients with a single colorectal lung metastasis, surgical resection may significantly improve outcomes according to a recent Houston Methodist...

According to our recent study, led by Head of Thoracic Surgery Dr. Min Kim, surgical resection may significantly improve outcomes in patients with a single colorectal lung metastasis.

21.08.2025 14:00 β€” πŸ‘ 0    πŸ” 0    πŸ’¬ 0    πŸ“Œ 0
Preview
Ballet and Back Problems: Study Finds Increased Association of Scoliosis Among Ballerinas Within the Houston Ballet ballerinas the female ballerinas demonstrated a higher rate of idiopathic scoliosis than that of the normal population.

According to our new study with the Houston Ballet, led by Associate Professor of Orthopedic Surgery Dr. Comron Saifi, female ballet dancers disproportionately have idiopathic scoliosis.

07.08.2025 14:00 β€” πŸ‘ 0    πŸ” 0    πŸ’¬ 0    πŸ“Œ 0
Preview
Houston Methodist Researchers Pioneer Optogenetic Modulation Protocol to Map Brain Connectivity Houston Methodist researchers pioneer a powerful new optogenetic modulation protocol to help map brain connectivity.

Our researchers, led by Dr. Valentin Dragoi, have developed an optogenetic modulation protocol by which scientists selectively control neural connections to study how distinct brain areas interact to generate attention, perception and decision-making.

16.07.2025 14:00 β€” πŸ‘ 0    πŸ” 0    πŸ’¬ 0    πŸ“Œ 0
Preview
Houston Methodist Pioneers Short Sequence MRI to Diagnose Fatty Liver Disease with Fibrosis Houston Methodist unveils a slimmed down MRI protocol that diagnoses fatty liver disease with fibrosis in just 5 to 10 minutes.

Our pioneers, Drs. David Victor and Nakul Gupta, unveiled a new short-sequence MRI protocol that diagnoses metabolic-associated steatotic liver disease (MASLD) with fibrosis in just 5 to 10 minutes.

14.07.2025 14:00 β€” πŸ‘ 0    πŸ” 0    πŸ’¬ 0    πŸ“Œ 0
Preview
Houston Methodist Study Finds Sustained Weight Loss Lowers Risk of Chronic Rhinosinusitis A new study led by Houston Methodist researchers reveals that sustained weight loss significantly reduces the risk and impact of chronic rhinosinusitis.

According to our study co-led by Drs. Mas Takashima and Omar Ahmed, sustained weight loss significantly reduces the risk, symptoms and treatment burden of chronic rhinosinusitis.

08.07.2025 14:00 β€” πŸ‘ 0    πŸ” 0    πŸ’¬ 0    πŸ“Œ 0
Preview
PODCAST: Educating the Physicians of the Future | Quality Time with Dr. Schaal In this episode, we discuss the importance of educating the next generation of physician leaders in academic medicine.

In this episode of Quality Time with Dr. Shlomit Schaal, Dr. Terence Flotte, dean of the UMass Chan Medical School, discusses educating the next generation of physician leaders and more.

12.06.2025 17:00 β€” πŸ‘ 0    πŸ” 0    πŸ’¬ 0    πŸ“Œ 0
Preview
Overactive Bladder Study Finds Fewer Botox Injections Eases Pain Without Sacrificing Treatment Effectiveness Houston Methodist study on overactive bladder Botox treatment finds fewer injection sites can reduce pain while maintaining the same therapeutic benefits.

According to a trial led by our professor of urology Dr. Rose Khavari, patients with overactive bladder and urinary incontinence experience significantly less pain and just as much symptom relief when receiving fewer bladder injections of Botox.

10.06.2025 14:00 β€” πŸ‘ 0    πŸ” 0    πŸ’¬ 0    πŸ“Œ 0
Preview
FDA Approves First Treatment for Macular Telangiectasia Type 2, With Houston Methodist Among Top Trial Sites The first-ever treatment for macular telangiectasia type 2, NT501, receives FDA approval following positive clinical trial results.

Our Professor of Clinical Ophthalmology Dr. @TXRetinaSurgeon who helped conduct the trial that led to the FDA's recent approval of the first-ever treatment for macular telangiectasia type 2 (MacTel) says the therapy is a game changer for patients. http://spr.ly/63329NQMdc

02.06.2025 14:00 β€” πŸ‘ 0    πŸ” 0    πŸ’¬ 0    πŸ“Œ 0
Preview
From Paper to AI: Houston Methodist's Journey to Smarter Patient Handoffs Houston Methodist generative AI pilot program helps distill and relay essential information from one caregiver to another during patient handoffs.

Is there a more efficient way to transfer information besides relying on employees to comb through the records themselves? Our answer: generative artificial intelligence.

28.05.2025 14:00 β€” πŸ‘ 0    πŸ” 0    πŸ’¬ 0    πŸ“Œ 0
Preview
Houston Methodist Study Suggests Cervical Collars Do More Harm Than Good After Neck Surgery A new study led by Dr. Mark Prasarn is challenging decades of conventional wisdom about the use of cervical collars following stabilization surgery.

The use of cervical collars following spine surgery may be unnecessary and potentially harmful, according to our study that challenges decades of conventional wisdom about routine bracing of patients.

26.05.2025 14:00 β€” πŸ‘ 0    πŸ” 0    πŸ’¬ 0    πŸ“Œ 0
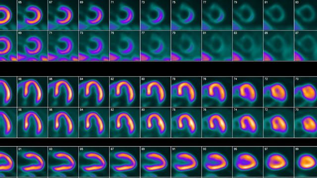
Preview
Houston Methodist First in U.S. to Offer Groundbreaking PET Tracer Flyrcado for Improved Cardiac Diagnostics Houston Methodist is first in U.S. to administer Flyrcadoβ„’, a novel PET radiotracer with longer half-life to advance diagnosis of coronary artery disease.

A few months ago, we became the first in the U.S. to administer Flyrcadoβ„’, a newly approved PET radiotracer that promises to transform the diagnosis and management of coronary artery disease.

21.05.2025 14:00 β€” πŸ‘ 0    πŸ” 0    πŸ’¬ 0    πŸ“Œ 0
Preview
Tackling Obesity from Every Angle: A Tailored Approach to GLP-1 Therapy, Advanced Endoscopy, Bariatric Surgery and More Dr. Thomas McCarty is spearheading a new obesity program at Houston Methodist, combining GLP-1 therapy, advanced endoscopy and surgery for optimal results.

Assistant Professor of Clinical Medicine Dr. Thomas McCarty is spearheading a pioneering, multidisciplinary approach to obesity, combining lifestyle interventions, pharmacotherapy, bariatric surgery and groundbreaking endoscopic procedures.

19.05.2025 14:00 β€” πŸ‘ 0    πŸ” 0    πŸ’¬ 0    πŸ“Œ 0
Preview
DeBakey Center Launches First Microlearning Module on Interatrial Septum Assessment The Houston Methodist DeBakey Heart & Vascular Center launches a new skill-building video series with its first episode on interatrial septum assessment.

Our DeBakey Heart & Vascular Center has debuted a new microlearning video series aimed at helping echocardiographers sharpen specific skills in adult congenital heart disease.

14.05.2025 14:00 β€” πŸ‘ 1    πŸ” 0    πŸ’¬ 0    πŸ“Œ 0
Preview
Houston Methodist Scientists Pioneer Ferroptosis Strategy Against Multiple Myeloma Houston Methodist researchers have identified a promising new therapeutic target for treating multiple myeloma: LILRB1.

Researchers at our Neal Cancer Center have identified a promising new therapeutic target for treating multiple myeloma.

12.05.2025 14:00 β€” πŸ‘ 1    πŸ” 0    πŸ’¬ 0    πŸ“Œ 0
Dr. Patrick McCulloch and Dr. Paul Holman

Dr. Patrick McCulloch and Dr. Paul Holman

Our orthopedic surgeon Dr. Patrick McCulloch and neurosurgeon Dr. Paul Holman will speak at the Spaceflight Human Optimization and Performance Summit (#SHOP25) on evolving musculoskeletal health in space.

02.05.2025 14:00 β€” πŸ‘ 0    πŸ” 0    πŸ’¬ 0    πŸ“Œ 0
Preview
PODCAST: Leading Health Care through Data and Innovation| Quality Time with Dr. Schaal How Houston Methodist's use of data and willingness to embrace forward-thinking technology have resulted in world-class patient care and outcomes.

In this episode of Quality Time with Dr. Schaal, Roberta Schwartz, PhD, shares how our focused approach to using data and willingness to embrace forward-thinking technology have resulted in world-class patient care and outcomes.

28.04.2025 14:00 β€” πŸ‘ 1    πŸ” 0    πŸ’¬ 0    πŸ“Œ 0
Preview
Interatrial Septum Assessment by Transthoracic Echocardiography Part 1: Secundum ASD | Methodist DeBakey Cardiovascular J With a focus on assessing ostium secundum atrial septal defect (ASD), echocardiography educator Alicia Rangosch at Houston Methodist's Adult Congenital Heart Program reviews the preferred echocardiographic windows, views, and sweeps using a simulator to show the cardiac structures in a 3-dimensional (3D) model.

First video of new @DeBakeyCVedu microlearning series features Dr. Miguel QuiΓ±ones, Dr. @valeriaduarteMD and @aliciarangosch and focuses on assessing ostium secundum atrial septal defect. http://spr.ly/633202b6IK

23.04.2025 19:11 β€” πŸ‘ 0    πŸ” 0    πŸ’¬ 0    πŸ“Œ 0
Preview
Access Granted: The Innovations Making Health Care More Accessible for Patients Houston Methodist is proactively transforming access to care through strategic technology deployment and centralization efforts aimed at enhancing the patient experience and improving operational efficiency.

To meet the evolving needs of consumers, we're proactively transforming access to care through strategic technology deployment and centralization efforts aimed at enhancing the patient experience and improving operational efficiency.

14.04.2025 14:00 β€” πŸ‘ 0    πŸ” 0    πŸ’¬ 0    πŸ“Œ 0
Preview
Innovative Allogeneic CAR T Cell Therapy Trial Shows Promising Results Houston Methodist treated its first allogeneic CAR T patient in April 2024 and is helping to pioneer the therapy through a new clinical trial.

Our researchers are partnering with other leading cancer institutes to pioneer this latest groundbreaking treatment. Allogeneic CAR T cell therapy aims to provide rapid access to immunotherapy for patients with limited options.

09.04.2025 14:00 β€” πŸ‘ 0    πŸ” 0    πŸ’¬ 0    πŸ“Œ 0
Preview
Houston Methodist Study Reveals Significant Gender Disparities in Traumatic Brain Injury Outcomes Women who experience a traumatic brain injury (TBI) fare worse than men, according to a new Houston Methodist study that will be featured at AANS.

According to our new study, among patients undergoing craniectomy procedures for traumatic brain injury, women had higher complication rates than their male counterparts. http://spr.ly/63322FDJMe

07.04.2025 14:00 β€” πŸ‘ 0    πŸ” 0    πŸ’¬ 0    πŸ“Œ 0
Preview
Novel PET Tracer Identifies Inflammation as Key Player in Alzheimer's Disease A Houston Methodist study advances understanding of Alzheimer's disease by demonstrating a strong relationship between inflammation and tau.

A groundbreaking new study, led by our researchers, has significantly advanced understanding of Alzheimer's disease by demonstrating a strong relationship between inflammation in the brain and disease progression. http://spr.ly/633290X1dP

02.04.2025 14:00 β€” πŸ‘ 0    πŸ” 0    πŸ’¬ 0    πŸ“Œ 0

@houstonmethodistmd is following 1 prominent accounts