Maria Rovito, Ph.D.'s Avatar

Maria Rovito, Ph.D.

@mariarovito.bsky.social

Researching the History of Endometriosis | Medical Humanities Professor @ Albany College of Pharmacy and Health Sciences | Feminist Disability Studies | Living with Chronic Pain | Winner of the Penn State Alumni Association Dissertation Award

65 Followers  |  49 Following  |  5 Posts  |  Joined: 02.12.2024  |  1.8343

Latest posts by mariarovito.bsky.social on Bluesky

Preview
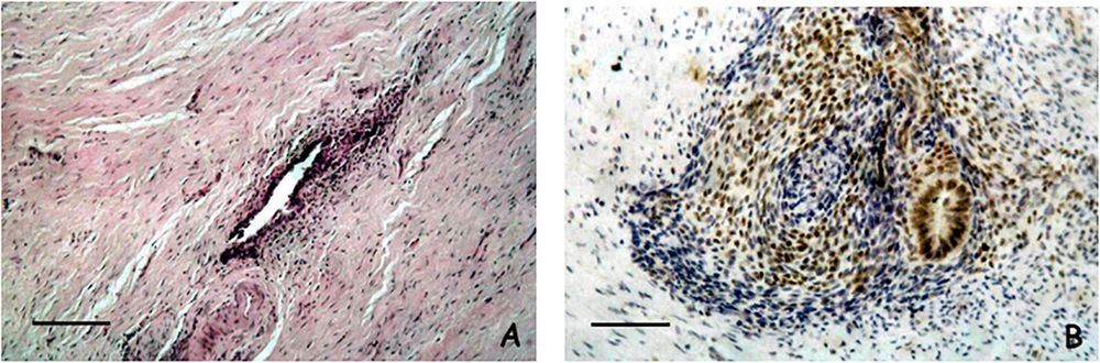
Frontiers | New Insights in Pathogenesis of Endometriosis Endometriosis is a gynecological disease characterized by the growth of endometrial glands and stroma outside the uterine cavity. The incidence of the diseas...

Despite the fact that this disease is very common and causes significant morbidity in those who suffer from it, endometriosis is an incredibly underdiagnosed and undertreated pathology, with an irrationally long interval of 8–12 years between the www.frontiersin.org/journals/med... #Endometriosis

03.02.2025 05:57 β€” πŸ‘ 13    πŸ” 6    πŸ’¬ 1    πŸ“Œ 0

I joke with my other celiac pals about the β€œgluten-free tax,” the extra we have to pay for gluten free versions of staples like pasta or bread

But Girl Scouts don’t charge a gluten-free tax, their gluten-free cookies are the same price as the rest, making them some of the cheapest GF cookies around

13.01.2025 20:52 β€” πŸ‘ 12079    πŸ” 887    πŸ’¬ 338    πŸ“Œ 53
Microsoft Forms

St Andrews Medical Humanities Network Symposium next Monday, 20 January, 9–5 in Parliament Hall events.st-andrews.ac.uk/events/st-an...
Dr Jaipreet Virdi will be delivering the keynote, 4-5: Beyond the Shot:The Complex History of Depo-Provera and Endometriosis events.st-andrews.ac.uk/events/beyon...

14.01.2025 10:47 β€” πŸ‘ 8    πŸ” 6    πŸ’¬ 0    πŸ“Œ 0
Preview
Illinois approves 4 new conditions for women for medical marijuana Endometriosis, ovarian cysts, uterine fibroids and female orgasmic disorder were approved conditions to qualify for medical cannabis.

For the first time since 2019, Illinois regulators have approved new medical conditions to qualify for medical cannabis, all centered around women’s health.

Endometriosis, ovarian cysts, uterine fibroids and female orgasmic disorder were approved by the Illinois Department of Public Health.

14.01.2025 13:52 β€” πŸ‘ 111    πŸ” 24    πŸ’¬ 8    πŸ“Œ 3
Post image Post image

This is my uterus! After suffering with endometriosis, I was grateful to my ObGyn for supporting my decision to pursue a hysterectomy. However, while my quality of life has significantly improved, I have continued to experience moderate symptoms. Never stop advocating for yourself!

10.01.2025 23:39 β€” πŸ‘ 4    πŸ” 1    πŸ’¬ 0    πŸ“Œ 0
A collage of four pictures showing the same person at various stages of worsening illness. The top left picture shows the woman with long hair tied back. She is healthy looking and smiling and wearing a cosy black and white jumper. In the second picture the woman sits in front of a book case. Her hair is now red and jaw length. It’s very thin hair following major surgery. In the bottom left picture, the woman now has a red-brown pixie cut, very short hair. She is smiling into the camera. In the last picture the woman has messy, short hair. She’s smiling from bed and trying to do a peace sign but is too tired to display it properly.

A collage of four pictures showing the same person at various stages of worsening illness. The top left picture shows the woman with long hair tied back. She is healthy looking and smiling and wearing a cosy black and white jumper. In the second picture the woman sits in front of a book case. Her hair is now red and jaw length. It’s very thin hair following major surgery. In the bottom left picture, the woman now has a red-brown pixie cut, very short hair. She is smiling into the camera. In the last picture the woman has messy, short hair. She’s smiling from bed and trying to do a peace sign but is too tired to display it properly.

This is a wee snapshot of me over the last two years or so.

I kept cutting my hair because my energy kept falling further and I couldn’t style it.

My endometriosis came back after the top two pictures. Then my M.E. rapidly became more severe.

Now, I’m bedbound. It’s been a rough road.

#pwME

11.01.2025 14:24 β€” πŸ‘ 58    πŸ” 5    πŸ’¬ 7    πŸ“Œ 1
Post image Post image

Please circulate this CfP!
We are inviting abstract submissions for our "NEH Medical Humanities" Conference October 2-3, 2025 at Sam Houston State University. No registration fees for any attendees.
Submit abstracts by February 1st for consideration. πŸ—ƒοΈ #histmed #Historysky #histSTM #skystorians

06.01.2025 17:05 β€” πŸ‘ 23    πŸ” 22    πŸ’¬ 1    πŸ“Œ 2

Wdym scientists developed a blood test for endometriosis. Wdym we could have had this test decades ago if gynae care was properly funded and medical misogyny was abolished πŸ˜€

30.12.2024 21:50 β€” πŸ‘ 12    πŸ” 2    πŸ’¬ 0    πŸ“Œ 0
Preview
Endometriosis pain leads to missed school and work in two-thirds of women with the condition, new study finds Black and Hispanic women are less likely to receive an endometriosis diagnosis, reflecting a possible systemic bias or disparity in health care access.

#Endometriosis pain leads to missed school and work in two-thirds of women with the condition, new study finds

31.12.2024 14:48 β€” πŸ‘ 22    πŸ” 11    πŸ’¬ 2    πŸ“Œ 3
Preview
Australian Research Leads to Groundbreaking Endometriosis Blood Test Endometriosis blood test could reduce diagnosis times and improve care

PromarkerEndo can truly change the paternalistic narrative we're always told: "It's all in your head." We still need the medical field to understand that excision is the closest thing we have to a cure. #endometriosis

gcmag.com.au/australian-r...

30.12.2024 19:39 β€” πŸ‘ 3    πŸ” 0    πŸ’¬ 0    πŸ“Œ 0

Holy shit indeed

Can we please leave behind the barbaric β€œyou’re in pain? No point in trying to find out if you have endometriosis, just shut up and get an IUD (without anesthesia)” model of gyno care?

30.12.2024 16:55 β€” πŸ‘ 17    πŸ” 3    πŸ’¬ 0    πŸ“Œ 0

"OK well your endo test came back super-duper positive, whatever that means. I still suggest motrin and maybe taking it a little easy during menses."

- Avg male doctor, probably

30.12.2024 16:40 β€” πŸ‘ 13    πŸ” 2    πŸ’¬ 0    πŸ“Œ 0

This is absolutely amazing news. Currently it takes an average of 10 YEARS for women in the US to be diagnosed with endometriosis. A decade of agony, of horrible painful suffering every month could be eliminated for millions of women.

30.12.2024 08:28 β€” πŸ‘ 117    πŸ” 37    πŸ’¬ 2    πŸ“Œ 1

So we are supposed to be fine with people being in jail for pirating films,games books and academic texts, whilst an exception is made for so called 'ai' that doesn't even get the original work accessible to those it's gatekept from, and the profits go to someone else entirely?

18.12.2024 15:32 β€” πŸ‘ 7    πŸ” 1    πŸ’¬ 0    πŸ“Œ 0
Preview
25 Facts About The Gender Health Gap For 2025 As 2025 approaches and federal support for women's health changes, here are 25 facts about the gender health gap to help women advocate for and advance their own health.

β€œFrom 2019 to 2023, funding for companies focused on erectile dysfunction was 6x higher than that for companies studying endometriosis.”
#endometriosis #MedicalMisogyny #GenderGap

www.forbes.com/sites/evaepk...

19.12.2024 17:25 β€” πŸ‘ 1    πŸ” 0    πŸ’¬ 0    πŸ“Œ 0

#FuckAI

14.12.2024 23:05 β€” πŸ‘ 27    πŸ” 1    πŸ’¬ 0    πŸ“Œ 0

Chile, only for them to vacuum up your knowledge, course design, lecture notes, etc. to train their LLM, which they will turn around and sell to your uni to replace you with an AI prof starting with the non-tenure track faculty.

Don't use this #academicsky.

Absolutely not!

14.12.2024 23:11 β€” πŸ‘ 22    πŸ” 5    πŸ’¬ 1    πŸ“Œ 0
Screenshot of abstract

Screenshot of abstract

8-year anniversary of reanalysis paper on recovery in Β£5m #PACEtrial, with data the PACE team fought so hard to keep to themselves.

Shows recovery rates in all trial arms were low, using the criteria the PIs promised in their own protocol

tandfonline.com/doi/full/10....

#MEcfs #CFS

14.12.2024 00:16 β€” πŸ‘ 68    πŸ” 40    πŸ’¬ 4    πŸ“Œ 4
Preview
Local Communities "Deserve a Say" When Our Hospitals Plan to Close Hospital closures harm our local communities and reduce our access to health care. They put our own individual health and well-being at risk, particularly those of us living with serious and complex h...

Fellow NY-ers, please sign this petition to tell Gov. Hochul that communities "Deserve a Say" when our hospitals plan to close. This bill will ensure that a Health Equity Impact Assessment is done to inform state regulators and local community leaders. #ReproductiveJustice

tinyurl.com/ym8555ae

09.12.2024 18:07 β€” πŸ‘ 1    πŸ” 0    πŸ’¬ 0    πŸ“Œ 0

Has anyone else noticed that both NWSA and the American Studies Association are both in San Juan next November? NWSA is November 13-16 and ASA is November 20-23. Anyone thinking about going to both? #GenderStudies #AmericanStudies

08.12.2024 16:34 β€” πŸ‘ 0    πŸ” 0    πŸ’¬ 0    πŸ“Œ 0
Preview
Daughters Make a Difference: : Doctors' Family Lives Impact Women's Health New research from the Department of Economics shows that male doctors with daughters are more attentive to female-specific health issues, leading to better health outcomes for their female patients.

Color me shocked that male doctors only understand empathy when they have daughters of their own. Otherwise, any female patient is treated like an object. #MedicalMisogyny

www.econ.ku.dk/cebi/news/da...

07.12.2024 02:03 β€” πŸ‘ 4    πŸ” 0    πŸ’¬ 0    πŸ“Œ 0
Preview
Abortion in American History: Intimate Decisions, Medical Knowledge, and Legal Decrees in the Two Centuries Before Roe v. Wade | The Huntington This conference brings together leading scholars to explore the multifaceted history of abortion in 19th- and 20th-century America. Building on the Longo Collection in Reproductive Biology, this confe...

Upcoming Conference 🚨 Register for Abortion in America, Jan 17-18, 2025 huntington.org/event/aborti...

04.12.2024 17:51 β€” πŸ‘ 19    πŸ” 11    πŸ’¬ 1    πŸ“Œ 4

@mariarovito is following 19 prominent accounts