Findings from this multiinstitutional study of malignancy in incidental, indeterminate adrenal nodules on contrast-enhanced CT in patients without known cancer provide crucial data to inform management guidelines and reduce unnecessary follow-up. www.ajronline.org/doi/10.2214/...
23.11.2025 19:00 — 👍 1 🔁 0 💬 0 📌 0
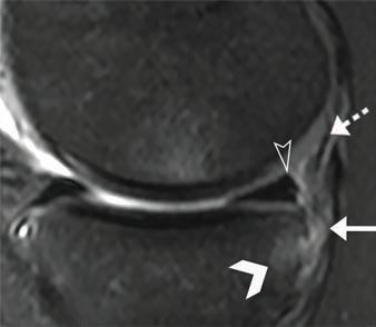
Sharpen your MRI skills with this review of posteromedial meniscocapsular ramp lesions: critical anatomy, pathogenesis, and key diagnostic criteria to help rads accurately recognize these common-but-missed injuries and guide orthopedic surgical planning. www.ajronline.org/doi/10.2214/...
22.11.2025 18:00 — 👍 0 🔁 0 💬 0 📌 0
American Roentgen Ray Society
This viewpoint explores the implications of medical malpractice stress syndrome.
www.ajronline.org/doi/10.2214/...
21.11.2025 15:24 — 👍 0 🔁 0 💬 0 📌 0
American Roentgen Ray Society
This AJR Special Series Review offers a clear, focused look at posteromedial meniscocapsular ramp lesions.
www.ajronline.org/doi/10.2214/...
21.11.2025 15:24 — 👍 0 🔁 0 💬 1 📌 0
What It Takes to Elevate Endometriosis Imaging on the World Stage—Radiology Trailblazers, an AJR Podcast Series (Episode 5) | AJR
Summary What are insights from a radiologist's experience in creating an educational conference on endometriosis imaging? Wendaline VanBuren, MD, joins cohosts Lindsey Negrete, MD, and Amy Maduram, MD...
In this AJR Podcast Series, Lindsey Negrete, MD, and Amy Maduram, MD spoke with Wendaline VanBuren, MD about the process of developing an educational conference focused on endometriosis imaging.
www.ajronline.org/doi/10.2214/...
21.11.2025 15:24 — 👍 0 🔁 0 💬 1 📌 0
Findings from this multiinstitutional study of malignancy in incidental, indeterminate adrenal nodules on contrast-enhanced CT in patients without known cancer provide crucial data to inform management guidelines and reduce unnecessary follow-up.
www.ajronline.org/doi/10.2214/...
21.11.2025 15:24 — 👍 0 🔁 0 💬 1 📌 0
🦃Gobble up this week’s five most read AJR articles!
21.11.2025 15:24 — 👍 0 🔁 0 💬 1 📌 0
A multidisciplinary Expert Panel provides unified guidance on imaging, diagnosis, and management of pediatric renal cysts; reviewing roles of US, CT, MRI, and incorporating the modified Bosniak classification to clarify challenging cases. www.ajronline.org/doi/10.2214/...
21.11.2025 15:02 — 👍 0 🔁 0 💬 0 📌 0
This Expert Panel Narrative Review guides the judicious use of imaging for pediatric low back pain. Learn the utility of different modalities, optimal techniques, and the classic imaging features of common and critical organic causes to expedite diagnosis. www.ajronline.org/doi/10.2214/...
20.11.2025 17:43 — 👍 0 🔁 1 💬 0 📌 0
Wendaline VanBuren, MD, joins AJR Podcast cohosts Lindsey Negrete, MD, and Amy Maduram, MD, to discuss opportunities to learn from international colleagues, public speaking pearls, and the importance of networking and collaboration. www.ajronline.org/doi/10.2214/...
15.11.2025 16:00 — 👍 1 🔁 0 💬 0 📌 0
This research finds that a new rapid-reactivation power save mode for CT scanners yields substantial energy savings, reducing consumption by up to 7.2% during interexamination idle periods.
www.ajronline.org/doi/10.2214/...
14.11.2025 18:10 — 👍 0 🔁 0 💬 0 📌 0
In this episode of Radiology Trailblazers, Wendaline VanBuren, MD distills her experience building an endometriosis conference into powerful, actionable pearls on public speaking, networking, and global learning.
www.ajronline.org/doi/10.2214/...
14.11.2025 18:10 — 👍 0 🔁 0 💬 1 📌 0
This systematic review of professional soccer players highlights key MRI features that predict delayed return-to-play, improving prognostic assessment.
www.ajronline.org/doi/10.2214/...
14.11.2025 18:10 — 👍 0 🔁 0 💬 1 📌 0
Lung MRI is ready for primetime using conventional sequences, and this AJR Expert Panel Narrative Review outlines exactly how to use it for key pathologies.
www.ajronline.org/doi/10.2214/...
14.11.2025 18:10 — 👍 0 🔁 0 💬 1 📌 0
The findings of this study support application of v2024 for surgical margin evaluation after HCC resection.
www.ajronline.org/doi/10.2214/...
14.11.2025 18:10 — 👍 0 🔁 0 💬 1 📌 0
🌽 Looking for high yield kernels? Readers couldn’t get enough of this week’s five most read articles.
14.11.2025 18:10 — 👍 0 🔁 0 💬 1 📌 0
A critical review of AI-powered CAC scoring's readiness for clinical use, assessing its reliability and the need for clinical utility trials. www.ajronline.org/doi/10.2214/...
14.11.2025 14:00 — 👍 1 🔁 0 💬 0 📌 0
Master advanced prompting strategies to enhance the safety and reliability of LLMs in interventional radiology, guiding future clinical integration. www.ajronline.org/doi/10.2214/...
13.11.2025 20:57 — 👍 0 🔁 0 💬 0 📌 0
This AJR systematic review of professional soccer players highlights key MRI features (tendon involvement, MTJ) that predict delayed return-to-play, improving prognostic assessment. www.ajronline.org/doi/10.2214/...
12.11.2025 18:56 — 👍 1 🔁 1 💬 0 📌 0
🏆 We are thrilled to share that an AJR article is the Minnies 2025 Scientific Paper of the Year!
Our congratulations to Mihir Khunte, BS, and Yashaswini Singh, PhD, MPA on being selected for this honor.
ajronline.org/doi/10.2214/...
12.11.2025 14:57 — 👍 1 🔁 1 💬 0 📌 0
Bryan Bunnell, MD walks through a case from the AJR Forum on Quantitative Ultrasound where the liver looks fine but stiffness is 16 kPa.
www.ajronline.org/doi/10.2214/...
11.11.2025 14:25 — 👍 1 🔁 0 💬 0 📌 0
AJR is open to all readers through November 9. Enjoy our complete archive this weekend as we celebrate the International Day of Radiology.
09.11.2025 15:15 — 👍 2 🔁 0 💬 0 📌 0
The latest issue of AJR is live, including featured articles on:
✅ Lung MRI Review
✅ Contrast Media in Children
✅ Percutaneous Arteriovenous Fistula: Point/Counterpoint
www.ajronline.org/toc/ajr/225/4
06.11.2025 16:37 — 👍 0 🔁 1 💬 1 📌 0
To celebrate the International Day of Radiology, all AJR is freely available this weekend, through Sunday, November 9. Please enjoy this expanded access to our peer-reviewed articles.
08.11.2025 16:45 — 👍 2 🔁 0 💬 0 📌 0
In honor of the International Day of Radiology, all AJR content is freely available from November 7-9. We invite you to explore the latest findings and articles that define our field.
07.11.2025 19:35 — 👍 2 🔁 1 💬 0 📌 0
State-Level Malpractice Factors and Imaging Utilization in Patients Presenting to the Emergency Department With Headache: A National Medicaid Analysis | AJR
A national Medicaid analysis explores the association between state-level malpractice factors, such as tort reform, and the utilization of advanced imaging for ED patients with headache.
www.ajronline.org/doi/10.2214/...
07.11.2025 14:59 — 👍 0 🔁 0 💬 0 📌 0
American Roentgen Ray Society
Rates of false-negative screening and diagnostic mammograms reported in the NMD have increased over time, with a higher likelihood associated with dense breasts, patient history, and academic facilities.
www.ajronline.org/doi/10.2214/...
07.11.2025 14:59 — 👍 0 🔁 0 💬 1 📌 0
American Roentgen Ray Society
The new LI-RADS v2024 Nonradiation TRA detects local recurrence of HCC after resection significantly earlier and at a smaller size than v2018, supporting v2024's clinical application.
www.ajronline.org/doi/10.2214/...
07.11.2025 14:59 — 👍 0 🔁 0 💬 1 📌 0
American Roentgen Ray Society
This meta-analysis of AI for CT/MRI protocoling shows fine-tuned Bidirectional Encoder Representations from Transformers (BERT) models currently outperform traditional ML and LLMs, offering a pathway to streamline resource-intensive radiologist workflows.
www.ajronline.org/doi/10.2214/...
07.11.2025 14:59 — 👍 0 🔁 0 💬 1 📌 0
Postdoctoral Research Fellow |
Department of Radiology |
Children's Hospital of Philadelphia |
University of Pennsylvania
#RadRes at Mass General Hospital, Harvard Med | RSNA Radiology Advances Trainee Editorial Board. #RadSky
monicacheng.com
Professional medical association dedicated to all things abdominal imaging.
Chief of Abd Imaging & Director of MRI at Boston Medical Center
Assoc Prof at Boston U.
Adj Assoc Prof at Brown U.
& father of the 2 cutest rascals ever.
Assistant Professor (RTDB) UNIPA - Radiologist - University of Palermo 🇮🇹 - #SoMe for @insightsimaging.bsky.social EsgarSociety EuSoMII - #liver #HCC #LIRADS #AI #radsky #medsky
Love radiology, lakes and paddle boarding.
Neuroradiology Trainee, Researcher, & Innovator!
@RadiologyUcla PGY3 #RadRes 👩🏼⚕️🩻🧠
Proto-Radiologist. Pseudo-Lawyer. By way of NYU School of Medicine and Harvard Law School. He/him.
Pulmonary & Critical Care Physician | Iowa City | Midwestern Dad Vibes | Educator | Building my Research Skills, T32 | Sharing the human experience, knowledge seeker.
Professor of Radiology and Radiological Science, Johns Hopkins Medicine. CTisus is an informational and educational radiology resource dedicated to CT scanning. Opinions our own.
Cardiac Radiologist, Clinician Scientist and Vice Chair Research at the University of Toronto | Mom to two awesome humans | Climate, sustainability and imaging 🌎🌱🫀🩻 #RadSky #CardioSky
Roentgen Ray Review (R3) is @arrsradiology.bsky.social's newest peer-reviewed radiology journal.
https://r3journal.org/
Radiology organizations collaborating to form the Radiology Health Equity Coalition to impact health equity in the radiology arena and beyond. #HealthEquity #Radiology #Imaging #PatientCare #CommunityEngagement #SDOH #HealthDisparities
Board Certified #Radiologist, #EmergencyPhysician, #eHealthConsultant | passionate about #DigitalHealth, #DigitalTransformation, #Technology and #PublicHealth
Pediatric Neuroradiologist. #MedEd enthusiast. Animal lover. #MHPE student. Founder of RadSIG.
Editor in Chief, AJR @ajrradiology.bsky.social. Professor of Radiology, NYU Grossman School of Medicine. #RadSky
https://www.ajronline.org/
Emergency doc, flight physician, medical education research, in Madison, WI.