Alex Truesdell's Avatar

Alex Truesdell

@agtruesdell.bsky.social

Interventional Cardiologist. Combat Veteran AF-IZ-XK. Father. #CardiacCriticalCare #CardiogenicShock #CTO101 #ImageFirst #RadialFirst

287 Followers  |  51 Following  |  39 Posts  |  Joined: 06.12.2023  |  2.0216

Latest posts by agtruesdell.bsky.social on Bluesky

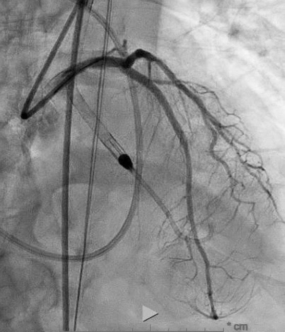
Post image Post image

2/2 2/2 And…single-access Swan 🦒 monitored Impella-assisted IVUS πŸ‘οΈ guided LM-LAD-LCX DK Culotte Kiss πŸ’‹ POT 🍯 Kiss πŸ’‹ POT 🍯 PCI/DES: with device removal post-procedure (via single pre-close Perclose)…

12.01.2025 12:56 β€” πŸ‘ 1    πŸ” 0    πŸ’¬ 1    πŸ“Œ 0
Post image Post image

1/2 Dec-Jan #LeftMain πŸ«€Chronicles continue. Advanced age. Cardiac arrest. NSTEMI. Moderate LV dysfunction. Severe LM bifurcation dz. Outside Hospital xfer post-recovery for PCI…

12.01.2025 12:56 β€” πŸ‘ 1    πŸ” 0    πŸ’¬ 1    πŸ“Œ 0
Post image

3/3 3/3 πŸ‘ Relevant (and excellent) editorial by @jaygirimd : (excerpt below): πŸ”— www.ahajournals.org/doi/10.1161/...

12.01.2025 12:55 β€” πŸ‘ 1    πŸ” 0    πŸ’¬ 0    πŸ“Œ 0
Post image Post image

2/3 2/3 Impella-assisted IVUS πŸ‘οΈ guided LM-LAD-LCX DK Culotte (POT 🍯 Kiss πŸ’‹ POT 🍯) PCI/Shockwave ⚑️IVL/DES and AWE (Sion Black) LAD CTO PCI/DES (2.7-3.7mm LAD, 3.1-3.7mm LCX, 4.0-4.5mm LM) πŸ”— pubmed.ncbi.nlm.nih.gov/32338608/…

12.01.2025 12:55 β€” πŸ‘ 1    πŸ” 0    πŸ’¬ 1    πŸ“Œ 0
Post image Post image Post image Post image

1/3 Advanced age. Near-normal EF. Refractory angina. Calcified πŸͺ¨ LM proximal through distal bifurcation (Medina 1,1,1) dz and calcified πŸͺ¨short LAD CTO (images below): referred for PCI after Heart πŸ«€Team evaluation…

12.01.2025 12:55 β€” πŸ‘ 1    πŸ” 1    πŸ’¬ 1    πŸ“Œ 0
Post image Post image Post image

2/2 Then true-lumen from Ostium into RV Marginal with Mongo wire. Then 2nd Mongo wire true lumen to RPLB via Sasuke dual-lumen microcatheter. All 3 wires visible below. Final switch to Marvel workhorse wire for IVUS πŸ‘οΈ guided PCI/DES (ostium to crux)πŸ‘β€¦

03.01.2025 23:24 β€” πŸ‘ 0    πŸ” 0    πŸ’¬ 0    πŸ“Œ 0
Post image Post image Post image

1/2 Ostial-thru-mid RCA calcified πŸͺ¨CTO: referred to our Team after prior failed attempts. Started Retro surfing πŸ„β€β™‚οΈ but no suitable Septals (primarily telephone πŸ“ž cord epicardial collaterals). Pivoted to AWE. Got subintimal purchase with P200πŸ‘β€¦

03.01.2025 23:24 β€” πŸ‘ 0    πŸ” 0    πŸ’¬ 1    πŸ“Œ 0
Post image Post image Post image

3/3 3/3 And…very very much looking forward in 2025 (and beyond) to more, smaller, stronger, better PVAD options (for both HRPCI and CS)πŸ‘β€¦

03.01.2025 12:33 β€” πŸ‘ 0    πŸ” 0    πŸ’¬ 0    πŸ“Œ 0
Post image Post image

2/3 2/3 Follow-on PVAD-assisted (with some facilitating iliac POBA) and IVUS πŸ‘οΈ guided LM-LAD-LCX DK Culotte PCI/DES (3.7-4.1mm in LAD/LCX and 4.5-5.0mm in LM). Impella out and Protamine at endπŸ‘: πŸ”— pubmed.ncbi.nlm.nih.gov/32338608/ and pubmed.ncbi.nlm.nih.gov/39445416/…

03.01.2025 12:33 β€” πŸ‘ 0    πŸ” 0    πŸ’¬ 1    πŸ“Œ 0
Post image Post image

1/3 Welcome to 2025πŸ₯³. NSTEMI. Acute Systolic Heart Failure. Moderate LV Dysfunction. Diagnostic angiography below (Severe LM bifurcation Dz and RCA CTO: with IABP insertion and Hospital xfer)…

03.01.2025 12:33 β€” πŸ‘ 0    πŸ” 1    πŸ’¬ 1    πŸ“Œ 0
Post image Post image Post image Post image

3/3 Percutaneous MCS for High-Risk PCI: Why? Who? When?…

29.12.2024 14:38 β€” πŸ‘ 0    πŸ” 0    πŸ’¬ 0    πŸ“Œ 0
Post image Post image

2/3 Follow-on PVAD-assisted and IVUS πŸ‘οΈ guided LM-LAD-LCX DK Culotte PCI/DES (3.7-4.1mm in LAD/LCX and 5.0-6.0mm in LM). And…immediate post-PCI β€œcan I go home tonight?β€πŸ˜‚β€¦ #PercCABG

29.12.2024 14:38 β€” πŸ‘ 1    πŸ” 0    πŸ’¬ 1    πŸ“Œ 0
Post image Post image

1/3 Advanced age. Severe LV Dysfunction. Acute Systolic Heart Failure. NSTEMI. Diagnostic angiography below (Severe LM bifurcation and multi-vessel CAD: with IABP insertion and Hospital xfer)…

29.12.2024 14:38 β€” πŸ‘ 0    πŸ” 0    πŸ’¬ 1    πŸ“Œ 0
Post image Post image Post image Post image

πŸ‘I’d say there is (at least) equipoise here (with IVI-guidance/optimization and dz not involving the trifurcation) re: #PCIvsCABG (LM Megatron DES: 5.3 mm distal to 6.0 mm ostial [with already-in-place IABP: removed post-PCI]): πŸ”— www.jacc.org/doi/10.1016/...

28.12.2024 19:54 β€” πŸ‘ 3    πŸ” 1    πŸ’¬ 0    πŸ“Œ 0
Post image

Happy Holidays πŸ•ŽπŸŽ„Friends…

26.12.2024 01:29 β€” πŸ‘ 2    πŸ” 0    πŸ’¬ 1    πŸ“Œ 0
Post image

πŸ‘#CiCU Holiday Cheer: IYKYKπŸ˜œβ€¦

18.12.2024 13:02 β€” πŸ‘ 0    πŸ” 0    πŸ’¬ 0    πŸ“Œ 0
Post image

2/2 Nice addition to prior β€œManagement of Percutaneous Coronary Intervention Complicationsβ€œπŸ’₯: both mandatory (IMO) at-least-annual reading (and mental-physical rehearsal as an individual and Team): πŸ”— pubmed.ncbi.nlm.nih.gov/32527193/…

14.12.2024 13:38 β€” πŸ‘ 0    πŸ” 0    πŸ’¬ 0    πŸ“Œ 0
Post image

1/2 πŸ‘β€Never walk into a Cath Lab you (and your patient) can’t walk out of”: Clinical expert consensus document on bailout algorithms for complications πŸ’₯ in percutaneous coronary intervention: πŸ”— pubmed.ncbi.nlm.nih.gov/39627466/…

14.12.2024 13:38 β€” πŸ‘ 2    πŸ” 0    πŸ’¬ 2    πŸ“Œ 0
Post image

πŸ‘Pretty amazing history (of grit and innovation) in our field πŸ«€here…

14.12.2024 13:11 β€” πŸ‘ 1    πŸ” 0    πŸ’¬ 0    πŸ“Œ 0

πŸ‘ Fun quit chat with #ScottNelson #FastWave: www.fastwavemedical.com/news/intervi...

10.12.2024 12:58 β€” πŸ‘ 1    πŸ” 0    πŸ’¬ 0    πŸ“Œ 0
Post image Post image

Great to participate (even if remotely) in #ICI2024πŸ‘: icimed.org…

09.12.2024 12:22 β€” πŸ‘ 1    πŸ” 0    πŸ’¬ 0    πŸ“Œ 0
Post image Post image Post image

ACS. Severe LV Dysftn. Acute HF. Mod-Sev AS. Critical LM dz (and RCA CTO). Prohibitive PAD for MCS. So: β€œrapid-fire” POBA with Epi/NorEpi gtt (with 60-sec loss of pulsatility) followed quickly by (less eventful) PCI/DES and final IVUS πŸ‘οΈ optimization: πŸ”— pubmed.ncbi.nlm.nih.gov/36423996/…

09.12.2024 12:21 β€” πŸ‘ 1    πŸ” 0    πŸ’¬ 0    πŸ“Œ 0
Post image Post image Post image Post image

Mixed Cardiogenic-Vasodilatory βš‘οΈπŸ«€πŸ’₯ Shock: Current Insights and Future Directions: www.sciencedirect.com/science/arti...

05.12.2024 18:48 β€” πŸ‘ 1    πŸ” 0    πŸ’¬ 0    πŸ“Œ 0
Video thumbnail

Holiday πŸ•ŽπŸŽ„#CTOPCI planning meeting 🎸πŸ₯πŸŽ·β€¦

05.12.2024 03:33 β€” πŸ‘ 0    πŸ” 0    πŸ’¬ 0    πŸ“Œ 0
Short-Term Mechanical Circulatory Support for Cardiogenic Shock | SCAI

scai.org/short-term-m...

04.12.2024 11:04 β€” πŸ‘ 1    πŸ” 1    πŸ’¬ 1    πŸ“Œ 0
Post image Post image

Who uses Protamine post-PCI in the Cath Lab πŸ€·β€β™‚οΈ? Currently using for all CTOs (after coronary gear removal) and all elective Impella high-risk PCI (after device removal). What do others do? πŸ”— pubmed.ncbi.nlm.nih.gov/37172213/%E2...

02.12.2024 13:39 β€” πŸ‘ 2    πŸ” 1    πŸ’¬ 0    πŸ“Œ 1
Post image

πŸ‘ Happy πŸ¦ƒπŸ‡ΊπŸ‡ΈπŸ Thanksgiving
2024: founders.archives.gov/documents/Wa...

28.11.2024 13:42 β€” πŸ‘ 0    πŸ” 0    πŸ’¬ 0    πŸ“Œ 0
Post image Post image Post image

2/2 Large-bore vascular access for (emergent and elective) MCS (with 5-minute online supplemental β€œhow to” video tutorial): particularly critical for PCI in more β€œchallenging” vascular or anatomic scenarios: πŸ”— pubmed.ncbi.nlm.nih.gov/37717476/…

27.11.2024 17:35 β€” πŸ‘ 0    πŸ” 0    πŸ’¬ 0    πŸ“Œ 0
Post image Post image Post image Post image

1/2 ACS. Moderate LV dysftn. Acute systolic HF. LM into LAD calcified sub-total occlusion (and moderate LCX dz). Extreme BMI. Impella-assisted, IVUS-guided πŸ‘οΈ PCI (via new Single-Access sheath), Rota πŸ’Ž, DES (3.2-4.2mm LAD/4.6mm POT LM). Pre-Close + Post-Close Perclose closure…

27.11.2024 17:35 β€” πŸ‘ 1    πŸ” 0    πŸ’¬ 1    πŸ“Œ 1
Post image Post image

New: 3 different user-friendly @SCAI Shock βš‘οΈπŸ«€πŸ’₯ MCS e- Book viewing options: PDF, on-line, and off-lineπŸ‘: πŸ”— scai.org/short-term-m...

27.11.2024 12:22 β€” πŸ‘ 7    πŸ” 3    πŸ’¬ 1    πŸ“Œ 1

@agtruesdell is following 20 prominent accounts