15/
For more:
Bursitis for Clinicians: nickilicphysio.substack.com/p/clinicians...
Bursitis for Patients:
nickilicphysio.substack.com/p/patient-pl...
The Rotator Cuff Cable:
nickilicphysio.substack.com/p/clinicians...
When is a 'Shoulder' not a Shoulder:
nickilicphysio.substack.com/p/when-is-a-...
05.11.2025 07:55 โ ๐ 0 ๐ 0 ๐ฌ 0 ๐ 0
Nick Ilic | Physio Clinician | Substack
I cut through the noise in musculoskeletal healthcare, offering clear, practical insights for patients & clinicians. Expect deep dives, case studies, and no-nonsense injury management. Subscribe for e...
14/
๐ฌ Final Boarding Call
The full post (with clinical pathways, imaging criteria, and management pearls) is now live:
๐ nickilicphysio.substack.com
๐ Paywall at cruising altitude โ because thatโs where the gold is.
#Physiotherapy #ShoulderPain #RotatorCuff #Rehab
05.11.2025 07:55 โ ๐ 0 ๐ 0 ๐ฌ 1 ๐ 0
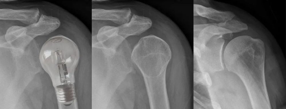
13/
๐งพ Scans and Stories
In older shoulders, imaging finds something in almost everyone.
Pain-free rotator cuff tears, โbursitisโ in half the population, OA in most.
Use scans to confirm your theoryโnot to build it.
05.11.2025 07:55 โ ๐ 0 ๐ 0 ๐ฌ 1 ๐ 0
12/
๐ The Rotator Cuff Cable
The reason some big tears keep flying while others nosedive.
Think suspension bridge, not shredded fabric.
The load distribution story matters more than the MRI headline.
05.11.2025 07:55 โ ๐ 0 ๐ 0 ๐ฌ 1 ๐ 0
11/
๐ฏ The Biceps Canary
When the long head chirps, itโs usually telling you something upstream is wrong.
Itโs tender, itโs tired, and itโs tattling on the rest of the team.
05.11.2025 07:55 โ ๐ 0 ๐ 0 ๐ฌ 1 ๐ 0
10/
๐งฉ Subscapularis โ The Forgotten Anchor
Lose it, and the whole cuff loses its compass.
Rehab here isnโt โmore external rotation.โ
Itโs restoring anterior stability and force balance.
05.11.2025 07:55 โ ๐ 0 ๐ 0 ๐ฌ 1 ๐ 0
8/
๐ง Neck First. Always.
If the โshoulder painโ lives between the blades, or the deltoidโs fine but the storyโs weirdโฆ
Check the neck.
Otherwise, youโll chase a ghost and call it bursitis.
05.11.2025 07:55 โ ๐ 0 ๐ 0 ๐ฌ 1 ๐ 0
7/
๐งญ Extended Discussion Sections
๐ก Young & Wobbly vs Old & Stiff vs Elder Shoulder
You can tell a lot about a shoulder by its passport age.
Different biology.
Different pathology.
Different rules of engagement.
05.11.2025 07:55 โ ๐ 1 ๐ 0 ๐ฌ 1 ๐ 0
6/
๐จ Emergency Landing: When Rehab Doesnโt Fly
3 months with no improvement = time to divert.
Reassess, rescan, refer.
Sometimes itโs the weather, sometimes itโs the aircraft.
Either way, you need another runway.
05.11.2025 07:55 โ ๐ 0 ๐ 0 ๐ฌ 1 ๐ 0
5/
๐ฌ Landing: Return to Function
Touchdown isnโt โpain-freeโโitโs recovered enough to live again.
๐นRebuild strength.
๐นDial down meds.
๐นDebrief on early warning signs.
๐นCreate an early warning action plan for next time.
05.11.2025 07:55 โ ๐ 0 ๐ 0 ๐ฌ 1 ๐ 0
4/
โก๏ธ Turbulence: The 6โ8 Week Stall
Every journey hits rough air.
Pain flares, progress stalls, and passengers panic.
Thatโs when you de-activate autopilot and review:
๐น The neck
๐น The load
๐น The story
Stay calm, stay curious, and donโt eject too early.
05.11.2025 07:55 โ ๐ 0 ๐ 0 ๐ฌ 1 ๐ 0
2/
๐ซ Take-off: Pre-Flight Checks
Before you even board the case:
๐น Traumatic vs Atraumatic
๐น R/O red flags & urgent referrals
๐น Check-in all medical baggage
๐น Know if itโs turbulence (trauma) or tailwind (insidious load change)
Don't fail to perform pre-flight inspection.
05.11.2025 07:55 โ ๐ 0 ๐ 0 ๐ฌ 1 ๐ 0
1/
โ๏ธ๐ช New Take-off to Touchdown post: open.substack.com/pub/nickilic...
Chapter II | The Older Shoulder
(aka: Rotator Cuff Pain, Bursitis, & midlife movement mysteries).
For clinicians who want fewer โmystery shouldersโ & more clarity from take-off to touchdown. ๐งต
05.11.2025 07:55 โ ๐ 0 ๐ 0 ๐ฌ 1 ๐ 0
Unlike The Mad Katter, I won't punch anyone in the face if they ask ME about my Lebanese heritage.
Settlers from Kfarsghab 100yrs ago helped make ๐ฆ๐บ great through hardwork and grit, many rising up to high community status.
www.kfarsghab.com.au/kfarsghab-hi...
#auspol
28.08.2025 08:20 โ ๐ 4 ๐ 0 ๐ฌ 0 ๐ 0
Patients Playbook | When โBad Kneesโ Run in the Family
What is Patellofemoral Dysplasia? What does it mean for you and your family?
๐น Patellofemoral Dysplasia ๐น
If your knees have always been โa bit offโโฆ
๐ง Born with a different blueprint
๐ฆต Not just โmaltrackingโ
๐ช Quads, suction & load management
๐งช Dynamometry > guesswork
๐ open.substack.com/pub/nickilic...
#Physiotherapy #KneePain #MSK #SportsPhysio #PFJ
11.08.2025 21:56 โ ๐ 1 ๐ 0 ๐ฌ 0 ๐ 0
Research Review | Pain in the Bum
๐https://nickilicphysio.substack.com/p/research-review-pain-in-the-bum-gluteal
I discuss Angie Fearon's recent Gluteal Tendinopathy Review (sciencedirect.com/science/arti...):
โ
Bursitis vs GT
โ
SIJ/Lumbar DDX
โ
+LR/-LR test breakdown
โ
Why education > gadgets
27.07.2025 21:55 โ ๐ 2 ๐ 1 ๐ฌ 0 ๐ 0
I like the idea of this platform.
I don't like the idea of manually duplicating everything I do on that "OTHER" platform just to get it on this platform.
I don't yet want to stop using that other platform.
Solutions people!? ๐ Such a first world problem
14.02.2025 02:26 โ ๐ 0 ๐ 0 ๐ฌ 0 ๐ 0
I sometimes call Manual Therapies: "Palliative Therapies" (see meaning in pic).
It shifts the focus to short-term benefits: pain relief, reduced inhibition, and improved function so we can commence active rehabilitation, without the baggage of silly, disempowering narratives.
13.02.2025 19:44 โ ๐ 1 ๐ 0 ๐ฌ 0 ๐ 0
The mere fact that is very difficult and uncomfortable to ask the question I have (without backlash) demonstrates how powerful, extrajudicial, and amplified online dialogue can be. Cognitive dissonance is difficult for everyone, especially if asking themselves "is it at all possible he is innocent?"
29.01.2025 01:34 โ ๐ 0 ๐ 0 ๐ฌ 1 ๐ 0
I spent a year hating him due to the public dialogue surrounding the DV allegations and listening/seeing the reaction to it, that was wrong of me, legally and congnitively.
It is difficult to separate the cause (DV) from the alleged offender, who has not been found guilty by an Actual Court of Law.
29.01.2025 01:28 โ ๐ 0 ๐ 0 ๐ฌ 1 ๐ 0
Thanks for assuming I don't know the basics facts and reality of Domestic Violence, the number 1 killer of women in my Country.
This is not a #notallmen laced query.
He could be innocent, and the Court of Public Opinion outside of the legal process could be unnecessarily ruining his life & career.
29.01.2025 01:28 โ ๐ 0 ๐ 0 ๐ฌ 1 ๐ 0
"You're wrong, do your research, you should argue with that ๐คก"
28.01.2025 20:55 โ ๐ 1 ๐ 0 ๐ฌ 0 ๐ 0
Imagine if there was even some sort of collaborative health organisation worldwide that the US could benefit from, even contribute to?
28.01.2025 01:27 โ ๐ 2 ๐ 0 ๐ฌ 0 ๐ 0
Humankind has had generations to get used to the notion of disagreeing vehemently, but with love, we have a whole institution for that:
Marriage
๐ค
27.01.2025 20:42 โ ๐ 1 ๐ 0 ๐ฌ 1 ๐ 0
Looks amazing. Will have to make the BIG trip one year
27.01.2025 20:40 โ ๐ 1 ๐ 0 ๐ฌ 0 ๐ 0
Can I ask, playing devils advocate, what if he IS actually innocent and he's been dragged over the extrajudicial coals unnecessarily?
I feel you summed it up well last year:
We don't know, we won't know, but we should continue to raise awareness of DV and publicly condemn it in all its forms.
27.01.2025 20:39 โ ๐ 0 ๐ 0 ๐ฌ 1 ๐ 0
Our Australian Physiotherapy Association even has a Dry Needling National Chair.
I was disappointed to see that it wasn't what I thought it was
23.01.2025 22:30 โ ๐ 3 ๐ 0 ๐ฌ 1 ๐ 0
Prognosis needs trajectory.
In their first visit when patients ask, "When will this be better?" I say it takes 2-3 visits to gauge recovery trends but add, "I wouldn't be surprised if it takes #-# weeks/months."
Patients are usually happy with that.
Reminds me of a good pic from Mr @AdamMeakins.
03.01.2025 22:19 โ ๐ 1 ๐ 0 ๐ฌ 1 ๐ 0
Catherine Whitaker, Matt Roberts and David Law talk tennis weekly, and daily during the Grand Slams - https://podfollow.com/the-tennis-podcast
Consultant in Musculoskeletal, Sport & Exercise Medicine. Interest in difficult stuff / conundrums; groin & gluteal pain; diagnostics; ultrasound
Daily posts of interesting real world MSK cases to stimulate respectful discussion & pool global knowledge
Physiotherapist - researcher - educator - advocate for people living with pain
Curtin University
Bodylogic.physio
Specialist Dance/Foot & Ankle Physiotherapist ๐ฉฐ๐๐ผโโ๏ธ Former pro dancer ๐๐ผ Trinity Laban ๐ถ Matilda The Musical ๐ โUntilโ in Soho
๐ https://linktr.ee/lizbayleyphysio
Physio and S&C coach for 20+ years! Likes getting people stronger and occasionally using stronger language! Views my own! No Silly BS #CantGoWrongGettingStrong
Physiotherapist. Epidemiologist (PhD)
https://rogerhilfiker.ch
https://publicationslist.org/roger.hilfiker
https://scholar.google.com/citations?user=GKQKdCQAAAAJ&hl=de&oi=ao
Spine & MSK + Value-Based Care @MUSCHealth & Asst Prof @MUSC | Asst Prof @UPMC | Assoc Editor @PMRjournal | Spine Health | #Physiatry #Spine
Post-doctoral fellow | Musculoskeletal Health Epidemiologist | Sports Physio | Prefer dogs over humans.
#Epidemiology #EpiSky #CausalInference #MSKHealth #SportsMedicine #ProDog
The BMJ is patient centred, evidence based, and independent. Help us improve the health of our world with the best science, journalism, education, and comment.
Jack March
Rheumatology CPD and Education
Ops Director Physio Matters
linktr.ee/rheumatology.physio
Orthopaedic spine surgeon. I run a lot. I have a bunch of kids 2+3 (kinship care). Dogs are better than most humans
Translating pain research into clinical practice. #WomanOwned Check out speakers & Register for March 1-3, 2024 here: http://sandiegopainsummit.com/schedule
The Friday Confession Physio.
Founder of the Friday Physio Confession Podcast.
Beer lover.
Physiotherapist (mostly, sort of.)
โMais l'important c'est pas la chute, c'est l'atterrissage.โ
๐Naarm.
Medical educator, communicator, illustrator, scientist, and former lab rat. Here for meded, medcomm, science, education, and scicomm.
โ๏ธ๐งช #WomenInSTEM #LGBTQSTEM #FOAMed #Meded #MedSky #MedTwitter
Pete is a SelfMgt Coach/Author/Broadcaster of the Pain Toolkit ยฎ www.paintoolkit.org
Pain Toolkit Academy paintoolkit.thinkific.com
Honorary member - British Pain Society.
Born in Woolwich - #Gooner #HarleyBiker
MLB Dir Integrative Baseball Performance โข Mostly avoids lifes rumble strip โข Swipes right for uncertainty โข S&C/DPT โข currently PhD @ UNIVR exploring measurement theory & predictive modeling.
Dislikes evidence based Ostriches
(An evidence based ostrich ignores evidence against whilst waiting for evidence of support.)
Physio, Professor, BBQer. Editor @cochrane. Views are my own and donโt necessarily reflect those of Brunel University/ Cochrane
Interested in trustworthy evidence: https://entrust-pe.org/
โข post-doc researcher for #ProjectACL at @leedsbeckett.bsky.social
โข PhD in HRQoL after knee injuries
โข physio who loves knees
โข ACL deficient
โข womenโs sports fan
โข from treaty 6 territory (aka edmonton)
๐leeds, uk ๐ณ๏ธโ๐๐