Alexander Tapio Mameghani's Avatar

Alexander Tapio Mameghani

@atmghn.bsky.social

spine surgeon in Switzerland

60 Followers  |  49 Following  |  17 Posts  |  Joined: 16.11.2024  |  1.666

Latest posts by atmghn.bsky.social on Bluesky

Post image

Endlich eine Artikelรผberschrift, die mich direkt anspricht!!!

22.10.2025 11:43 โ€” ๐Ÿ‘ 0    ๐Ÿ” 0    ๐Ÿ’ฌ 0    ๐Ÿ“Œ 0
Video thumbnail

although I deal with fancy high tech and cutting edge robots and navigation systems as a spine surgeon, I still dream of carving deep holes or deconstruct buildings with such a big fat yellow machine...

05.04.2025 20:25 โ€” ๐Ÿ‘ 0    ๐Ÿ” 0    ๐Ÿ’ฌ 0    ๐Ÿ“Œ 0

Patient with acute low back pain. Female 40yo. Two emergency consults in the ED. Finally lumbar MRI was performed: nothing to see.
Nevertheless she was then sent to spine surgery, and I don't know why.
What's your luxury problem of the day?

28.03.2025 10:02 โ€” ๐Ÿ‘ 0    ๐Ÿ” 0    ๐Ÿ’ฌ 0    ๐Ÿ“Œ 0
Post image

as a spine surgeon I am quite sad and a bit jealous that we don't have things in spine that look as weird as those things from foot and ankle...
What is it saying???

23.03.2025 22:30 โ€” ๐Ÿ‘ 0    ๐Ÿ” 0    ๐Ÿ’ฌ 0    ๐Ÿ“Œ 0
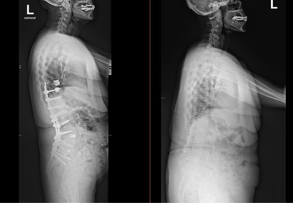
Post image

Mastering the realignment of a kyphotic spine demands years of dedicated practice. Do not assume that a residency and a single year in fellowship alone will equip you with such expertise to manage without helping assistance.

05.02.2025 13:55 โ€” ๐Ÿ‘ 0    ๐Ÿ” 0    ๐Ÿ’ฌ 0    ๐Ÿ“Œ 0

But of course, Iโ€™m no business expert. Just a simple spine surgeon, blissfully unqualified in the grand world of corporate strategy. Best I stick to believing that everything in those carefully worded press releases makes perfect sense.

31.01.2025 22:49 โ€” ๐Ÿ‘ 0    ๐Ÿ” 0    ๐Ÿ’ฌ 0    ๐Ÿ“Œ 0

When I hear that a company is selling off a significant part of its spine business, my first thought isnโ€™t that this particular division is thriving or the cherished golden child of the firm. No, it sounds far more like a quiet loss of faith-an attempt to offload it before the cracks start to show.

31.01.2025 22:49 โ€” ๐Ÿ‘ 0    ๐Ÿ” 0    ๐Ÿ’ฌ 1    ๐Ÿ“Œ 0
Post image

We will move in our new hospital in almost 2 month by end of Februaryโ€ฆ they say itโ€™s a once-in-your-life event if your in a leadership positionโ€ฆ wish me luck that I donโ€™t mess it up ๐Ÿ˜‰

14.12.2024 18:15 โ€” ๐Ÿ‘ 0    ๐Ÿ” 0    ๐Ÿ’ฌ 0    ๐Ÿ“Œ 0

saving money is hard to evaluate as the time you spend on your own with 3D printing technology is often counted as โ€žfor freeโ€œ but you spend hours and hours for educating yourself (and the team)โ€ฆwhich has a priceโ€ฆwhen outsourcing, the main cost driver are costs for the staff of that chosen companyโ€ฆ

07.12.2024 07:43 โ€” ๐Ÿ‘ 2    ๐Ÿ” 0    ๐Ÿ’ฌ 1    ๐Ÿ“Œ 0
Video thumbnail

simple test to identify thoracic hypokyphosis - heel, glutes and head to touch a wall - in a balanced spine the thoracic curve touches the spine as well - confirm in whole spine x-ray
--> needs lumbar PSO

05.12.2024 22:40 โ€” ๐Ÿ‘ 3    ๐Ÿ” 0    ๐Ÿ’ฌ 0    ๐Ÿ“Œ 0
Post image Post image

painful non-union is the main driver to leave PEEK cages as better alternatives are available

04.12.2024 21:18 โ€” ๐Ÿ‘ 2    ๐Ÿ” 0    ๐Ÿ’ฌ 0    ๐Ÿ“Œ 0

Itโ€™s haunting me

04.12.2024 19:42 โ€” ๐Ÿ‘ 1    ๐Ÿ” 0    ๐Ÿ’ฌ 0    ๐Ÿ“Œ 0

I needed some time as I was doing a literature and image research because of your response and I came to the conclusion that sometimes itโ€™s easier to inject the cement right into the jug veins instead of vertebral bones in prone position to achieve the same postop chest Xrayโ€ฆ

04.12.2024 19:05 โ€” ๐Ÿ‘ 0    ๐Ÿ” 0    ๐Ÿ’ฌ 1    ๐Ÿ“Œ 0
Video thumbnail

Iโ€™ve asked on the other platform (formerly known as Twitter), what would you do in a severe foraminal stenosis L3/4 like this?

Fusion or another transforaminal endoscopic attempt?

Any thoughts?
#itsnotthehip

03.12.2024 17:07 โ€” ๐Ÿ‘ 1    ๐Ÿ” 0    ๐Ÿ’ฌ 1    ๐Ÿ“Œ 0

Gratulation zur neuen Herausforderung!

03.12.2024 17:04 โ€” ๐Ÿ‘ 1    ๐Ÿ” 0    ๐Ÿ’ฌ 1    ๐Ÿ“Œ 0
Post image

usually I only use the metric system in medicine except when using the torque wrenchโ€ฆ then I am more than glad to say โ€ž80 in-lbsโ€œ instead of โ€ž9,038786 Nmโ€œโ€ฆ ๐Ÿ˜‰ โ€ฆ whatโ€™s your favourite non-metric unit?

30.11.2024 23:52 โ€” ๐Ÿ‘ 0    ๐Ÿ” 0    ๐Ÿ’ฌ 0    ๐Ÿ“Œ 0
Post image Post image Post image

Orthopaedic and neurosurgery spine surgeons in public hospitals are offering a 24/7 general service for a huge variety of spine conditions. Our โ€žpatient selectionโ€ is the entrance of the emergency department!

22.11.2024 00:37 โ€” ๐Ÿ‘ 0    ๐Ÿ” 0    ๐Ÿ’ฌ 0    ๐Ÿ“Œ 0

@atmghn is following 19 prominent accounts