Eduardo Alcaraz Mateos MD PhD's Avatar

Eduardo Alcaraz Mateos MD PhD

@edusqo.bsky.social

#Pathologist #CytoPath @SimInPath📱@HolopathVR🥽 #FioNA's 💉 inventor #DigitalPathology 🔬🖥 #Simulation #MedEd Anatomía Patológica - patólogo profesor @UMU

50 Followers  |  15 Following  |  109 Posts  |  Joined: 16.11.2024  |  2.7094

Latest posts by edusqo.bsky.social on Bluesky

Post image

#FioNA, schedule it ✍️🏽🗓, we're having a workshop at the 50th Annual Pathology Conference hosted by the University of Miami Miller School Department of Pathology UMiamiPath
Thanks, MerceJorda & CarmenGomezMD
Fine Needle Aspiration training
#CytoPath 💉 #PatientSafety #MedEd

02.11.2025 11:51 — 👍 0    🔁 0    💬 0    📌 0
Post image Post image Post image Post image

Probably the most ambitious FNA workshop that has been held to date. #PAAFMurcia2025:
▫️40 participants
▫️5 stations
▫️5 instructors: 3 pathologists, 2 radiologists
▫️4 ultrasound machines.
▫️Stanardized training (5 FioNA + @BiotmeMTM), clinical scenarios & evaluation @SimInPath

29.10.2025 16:02 — 👍 0    🔁 0    💬 0    📌 0
Post image Post image Post image Post image

Probablemente el taller más ambicioso realizado hasta la fecha de PAAF. En #PAAFMurcia2025:
▫️40 participantes
▫️5 estaciones
▫️5 instructores: 3 patólogos, 2 radiólogos
▫️4 ecógrafos
▫️Entrenamiento estandarizado (5 FioNA +@BiotmeMTM), escenarios clínicos y evaluación @SimInPath

29.10.2025 16:01 — 👍 0    🔁 0    💬 0    📌 0
Post image

Simulation in Pathology like never before!!! 🖐🏽 FioNA s!!!
Skills development in Cytopathology.
#PAAFMurcia2025, Murcia, Spain.
#FNAFriday #CytoPath #SBME #Training #Skills #MedEd #PatientSafety

21.10.2025 16:00 — 👍 1    🔁 0    💬 0    📌 0
Post image

Preparando los simuladores para el entrenamiento de habilidades en #PAAFMurcia2025 @PAAF_2025.
Nunca antes se han juntado tantas #FioNA s para tal fin.
Jornadas Teórico-Prácticas de Punción Aspiración con Aguja Fina, Murcia
#CytoPath #AnatomíaPatológica #PAAF #SegPac #SBME @sawbonesnow.bsky.social

21.10.2025 15:58 — 👍 1    🔁 0    💬 0    📌 0
Post image Post image Post image Post image

The evil is out there...
#FNAFriday #CytoPath

19.09.2025 07:31 — 👍 2    🔁 1    💬 0    📌 0
Post image

La seguridad del paciente es una prioridad.
Trabajando en ello años a través de métodos educativos basados en simulación y a diario a través de los diagnósticos 🔬 emitidos.
Hoy, 17 de septiembre, #DíaMundialdelaSeguridaddelPaciente
#SegPac @SimInPath #AnatomíaPatológica

17.09.2025 14:33 — 👍 0    🔁 0    💬 0    📌 0
Post image

Patient safety is a priority.
Working on it for years by developing simulation-based educational methodologies and through our daily 🔬 diagnoses.
September 17th is the World Patient Safety Day.
#worldpatientsafetyday2025
#PatientSafety #PatientSafetyDay @SimInPath #Pathology

17.09.2025 14:32 — 👍 0    🔁 0    💬 0    📌 0
Post image Post image Post image Post image

Welcome to te team! ¡Bienvenida!
A brand new FioNA has landed. She will be ready for #PAAFMURCIA2025 next month in Murcia.
What better week to arrive than the 2025 #hcsimweek25 🥰.
#MedEd #CytoPath #PatientSafety #HCSM #FNA
#hcsimweek

16.09.2025 15:45 — 👍 0    🔁 0    💬 0    📌 0
Video thumbnail

#hcsimweek25 starts!
We continue to strive to contribute to the successful learning of fine needle aspiration as a diagnostic technique through simulation-based methods. Since 2018 with @sawbonesnow.bsky.social #FioNA.
Next stop #PAAFMurcia2025, Murcia
#CytoPath #MedEd #PatientSafety #FNA #SBME

14.09.2025 06:00 — 👍 1    🔁 1    💬 0    📌 0
Post image

'There's nothing you can do that can't be done
Nothing you can sing that can't be sung
Nothing you can say but you can learn how to play the game
It's easy'
(Love Lynden David Hall's cover)
Wish you all a beautiful weekend! ❤️
#CytoPath #PathArt #FNAFriday

06.09.2025 05:56 — 👍 0    🔁 0    💬 0    📌 0
Post image

Learn to differentiate fibroblast foci (this image) from fibroblast plugs (Masson bodies), or you will never learn to diagnose UIP and forever be "correlating" with CT findings. Don't misdiagnose UIP as organizing pneumonia!

#pathology #pulmpath #uip #pathsky

29.08.2025 23:57 — 👍 7    🔁 1    💬 0    📌 0
Unknown slide session, part 1
YouTube video by Sanjay Mukhopadhyay Unknown slide session, part 1

youtu.be/18lxy75eNKM?...

#pathology #pulmpath #pathsky

30.08.2025 14:46 — 👍 2    🔁 1    💬 0    📌 0
Post image Post image Post image Post image

Sometimes I feel like an idiot, fooled by you. You're right in front of me, and I can't see the evil in you. Not 100% sure about your nature.....sometimes.
Pancreatic adenocarcinoma
#ROSE #FNAFriday #CytoPath #EUSFNA #DiffQuik

29.08.2025 17:31 — 👍 1    🔁 0    💬 0    📌 0
Post image

Happy 😃 for new feedback from medical students @demedium @UMU about our Service (@Area6VegaMedia), with their 6th SEPAC internship report at @Murciasalud.
It forces us to work and improve, aiming to be #1 😄
#MedEd #Pathology #Simulation #PatientSafety #TopTen

26.08.2025 16:09 — 👍 1    🔁 0    💬 0    📌 0
Post image

Today, more than ever, Cytology and FNA.... Rocks 😎🤘🏽 🎸
#CytoRocks #FNARocks #FNAFriday #CytoPath

22.08.2025 14:13 — 👍 1    🔁 1    💬 1    📌 0
Post image

Tras el taller de Punción Aspiración con Aguja Fina en Buenos Aires #SAC_SLACito25, la siguiente parada son las Jornadas teórico-prácticas de #PAAF 24-25 de Octubre, Hospital Universitario Morales Meseguer, Murcia.
#PAAFMurcia2025 @PAAF_2025 #SegPac #MedEd

15.08.2025 09:16 — 👍 1    🔁 1    💬 0    📌 0
Post image Post image Post image Post image

Una experiencia inolvidable participar en #SAC_SLACito25, Buenos Aires. Me llevo mucho de maravillosos colegas de Argentina, Perú, Colombia, México, Paraguay, Uruguay, Panamá, Venezuela, Brasil, Italia, Francia, Chile, Canadá, Estados Unidos...
¡Gracias!

09.08.2025 20:38 — 👍 1    🔁 0    💬 0    📌 0
Post image Post image Post image Post image

Taller de punción aspiración con aguja fina en #SAC_SLACito25 @SAC_SLACito25 ¡50 profesionales! 🇦🇷🇺🇾🇵🇾🇨🇴🇻🇪🇨🇱🇵🇪
XXXII Congreso de la Sociedad Latinoamericana de Citopatología y XXVI Congreso Argentino de Citología
#CytoPath #MedEd #PAAF #SegPac #Simulación #SegPac #FioNA @sawbonesnow.bsky.social

06.08.2025 10:39 — 👍 2    🔁 1    💬 1    📌 0
Post image

¡Buenos días, Buenos Aires! 🇦🇷
Hoy, sesión doble de Patología Intervencionista en #SAC_SLACito25 🥳. De 8:30 a 18:00. Un placer este Taller junto a los Drs. Bardales (Sacramento), de las Casas (Texas, @UTSWMedCenter) y Giménez @CeciliaEGimene1 (Nueva York, @NorthwellHealth)
#PAAF

05.08.2025 10:29 — 👍 0    🔁 0    💬 0    📌 0
Post image

Gentle reminder: Register now for Dr. Mauro Saieg's #IACwebinar on 21 Aug 2025 at 14:00 CET (08:00 AM EDT): The WHO Reporting System for Pancreaticobiliary Cytopathology www.cytology-iac.org/educational-... #cytopath

04.08.2025 10:37 — 👍 2    🔁 2    💬 0    📌 0
Post image

Safe travels, my dear!
¡Buen viaje, querida #FioNA! Nos vemos en Buenos Aires para el taller de #SAC_SLACito25 @SAC_SLACito25 - XXXII Congreso de la Sociedad Latinoamericana de #CytoPath y XXVI Congreso Argentino de Citología.
#CytoPath #MedEd #PAAF 💉 #ILookLikeAPathologist @sawbonesnow.bsky.social

02.08.2025 13:31 — 👍 0    🔁 0    💬 0    📌 0
Post image

¡Gracias, Dras Andrea Gersztein y Milagros Abad-Licham! FioNA @sawbonesnow.bsky.social agradece la carta que le permite estar en Buenos Aires para #SAC_SLACito25 @SAC_SLACito25
Todo a punto para que ella y los módulos ecográficos se empleen en el Taller de Citología intervencionista
#MedEd #PAAF

26.07.2025 16:17 — 👍 0    🔁 0    💬 0    📌 0
Post image Post image Post image Post image

Fruit, liver, jelly... things of the past. No human shape, not for me. Medical training is a serious matter. Standardized & case-based scenarios are essential.
No antropomorfo, no para mí. La formación médica es algo serio y la estandarización me resulta esencial.
#MedEd #FioNA #ifmsaworkshops2025

17.07.2025 15:33 — 👍 1    🔁 0    💬 0    📌 0
Post image Post image Post image Post image

Learn and get some fun! Great @ifmsa.bsky.social students from Taiwan, Poland, Croatia, Egypt, Slovenia, Brazil, Slovakia, Iraq-Kurdistan, Hungary, Morocco, Slovakia. Romania, Turkey.
IV SimInPath Pathology Workshop, Murcia, Spain.
#MedEd #Simulation #SBME #IFMSAWorkshops2025

17.07.2025 15:28 — 👍 1    🔁 0    💬 0    📌 0
Post image

Training day - Fine Needle Aspiration technique.
IV @SimInPath International Pathology Workshop for @ifmsa.bsky.social students at @Area6VegaMedia, Murcia, Spain
#MedEd #Simulation #CytoPath #IFMSAWorkshops2025 #FioNA #PatientSafety @sawbonesnow.bsky.social

17.07.2025 15:23 — 👍 1    🔁 0    💬 0    📌 0
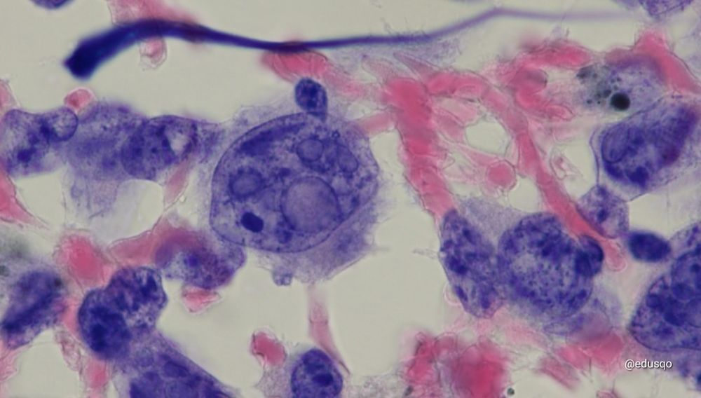
Post image Post image Post image Post image

If I were a cell, I would be a hemosiderophage
▫️I'm so naive that I think I have a gold mine...and it's just iron 😅
▫️I can be alone, but also accompanied
▫️I like to be on the side of good things...that sometimes change
What kind of cell you would be?

06.07.2025 10:14 — 👍 2    🔁 1    💬 0    📌 0

I always have fun!!! 😄
The workshop takes place in two weeks. @ifmsa.bsky.social students are here in the city at their respective departments

06.07.2025 09:20 — 👍 1    🔁 0    💬 1    📌 0
Post image

Melanoma lentigo maligna:
▫️Epidermal atrophy.
▫️Basally located contiguous atypical melanocytes.
▫️Hiperchromasia.
▫️Retraction artifact.
▫️Elastosis and melanophages.
#DermPath

01.07.2025 17:45 — 👍 2    🔁 0    💬 0    📌 0
Post image

🇭🇷🇹🇼🇸🇮🇪🇬🇧🇷🇭🇺🇸🇰🇷🇴🇲🇦🇵🇱🇹🇯🇹🇷 @ifmsa.bsky.social students are here! Everything is ready for the IV @SimInPath International Pathology Workshop, including both Pathology and #CytoPath competencies @iacytology.bsky.social
Taller de Anatomía Patológica y PAAF.
#MedEd #FNA #Skills #Simulation #IFMSAWorkshops2025

01.07.2025 17:07 — 👍 1    🔁 0    💬 1    📌 0

@edusqo is following 15 prominent accounts