Kalyani Bambal's Avatar

Kalyani Bambal

@kriyer.bsky.social

Pathologist.Interests in #surgicalpath #breastpath #bstpath #gupath #oncopath

142 Followers  |  203 Following  |  29 Posts  |  Joined: 21.11.2024  |  2.2443

Latest posts by kriyer.bsky.social on Bluesky

Preview
GLI1 Coamplification in Well-Differentiated/Dedifferentiated Liposarcomas: Clinicopathologic and Molecular Analysis of 92 Cases - PubMed GLI1(12q13.3) amplification is identified in a subset of mesenchymal neoplasms with a distinct nested round cell/epithelioid phenotype. MDM2 and CDK4 genes are situated along the oncogenic 12q13-15 se...

pubmed.ncbi.nlm.nih.gov/38621503/

12.06.2025 21:11 β€” πŸ‘ 6    πŸ” 1    πŸ’¬ 1    πŸ“Œ 0

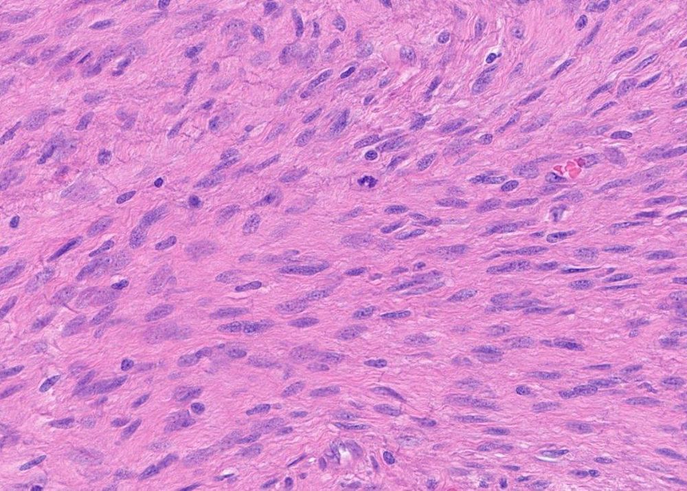
This is classic morphology for a GLI1 coamplified differentiated liposarcoma with perineurial-like whorls. So now the MDM2 amplification makes sense. The current tumor is showing essentially classical features of a GLI1 amplified soft tissue sarcoma. So the morphology/molecular explain each other.

12.06.2025 21:10 β€” πŸ‘ 5    πŸ” 1    πŸ’¬ 1    πŸ“Œ 0
Post image Post image Post image Post image

#PathSky Laryngeal mass, older adult male. Primitive, highly vascular round cell neoplasm for the most part.

12.06.2025 21:00 β€” πŸ‘ 9    πŸ” 6    πŸ’¬ 1    πŸ“Œ 0
Preview
STAT6 Can Be Used in the Diagnosis of Hodgkin Lymphoma;... : Applied Immunohistochemistry & Molecular Morphology the STAT6 (EP325) immunostain, diagnosing Hodgkin lymphoma, its staining frequency, immunolocalization, and its relationship with EBV. Sixty-eight patients representing each Hodgkin lymphoma subtype w...

STAT6 Can Be Used in the Diagnosis of Hodgkin Lymphoma; There Are Differences in Expression Among Subtypes journals.lww.com/appliedimmun...

05.08.2025 00:09 β€” πŸ‘ 4    πŸ” 2    πŸ’¬ 0    πŸ“Œ 0
Preview
Distinct levels of DDIT3 Amplification in Dedifferentiated... : Applied Immunohistochemistry & Molecular Morphology diagnostic tool for accurate diagnosis. While DDIT3 rearrangement is a known characteristic of myxoid LPS, its amplification in DDLPS has not been extensively studied. To investigate this, we evaluate...

Distinct levels of DDIT3 Amplification in Dedifferentiated Liposarcoma Developing After DDIT3 Rearrangement in Myxoid Liposarcoma journals.lww.com/appliedimmun...

05.08.2025 00:09 β€” πŸ‘ 3    πŸ” 2    πŸ’¬ 0    πŸ“Œ 0
Preview
Investigating Biomarkers in Primary Tumors and Lymph Node... : Applied Immunohistochemistry & Molecular Morphology tases. A total of 60 TSCC biopsy samples, 20 primary metastatic, 20 lymph node metastatic, and 20 nonmetastatic, were immunohistochemically stained to analyze MCM2, CD44, and E-cadherin expression. Ex...

Investigating Biomarkers in Primary Tumors and Lymph Node Metastases in Tongue Squamous Cell Carcinoma: An Immunohistochemical Perspective journals.lww.com/appliedimmun...

05.08.2025 10:43 β€” πŸ‘ 3    πŸ” 2    πŸ’¬ 0    πŸ“Œ 0
Post image Post image

Nasopharyngeal mass, adult male.

Dx: Hyalinizing clear cell ca.

➑️Nests of eosinophilic and/or clear cells. Helpful: 2 β€˜types’ of fibrosis (dense hyalinization and fibrolamellar stromal fibrosis).

#PathSky #ENTsky #HeadNeckSky

19.08.2025 22:04 β€” πŸ‘ 4    πŸ” 2    πŸ’¬ 1    πŸ“Œ 0
Post image Post image

Tracheal adenoid cystic carcinoma. At high magnification (next 2 pics), areas of β€˜signet-ring like’ or vacuolated, clear cell change is noted in ducts. Unknown clinical significance but when present in small biopsy material, may lead to diagnostic uncertainty.

PMID: 23379326
PMID: 39235305 (fig 3)

04.08.2025 12:59 β€” πŸ‘ 3    πŸ” 1    πŸ’¬ 1    πŸ“Œ 0
Post image

Image of the Week!

Submitted by: Halida Hakic Beslagic, M.D.
Directory Profile: buff.ly/ys2Oh0O
Subspecialty: GI / liver
Diagnosis: FNA Liver - adenocarcinoma

#Pathology #PathologyOutlines #PathSky

04.06.2025 14:06 β€” πŸ‘ 2    πŸ” 1    πŸ’¬ 0    πŸ“Œ 0

Just published! Check out this latest article πŸ‘‰πŸ» HER2 amplification is rare (1.7%) in low-grade, tubule-forming breast cancers with 2+ HER2 IHC; findings suggest ISH may be unnecessary in this subset #breastpath #IHCpath #pathsky

29.05.2025 00:44 β€” πŸ‘ 4    πŸ” 2    πŸ’¬ 0    πŸ“Œ 0

All that palisades etc etc.Seen an endometrial stromal sarcoma with crazy palisading just like this.

04.06.2025 16:46 β€” πŸ‘ 1    πŸ” 0    πŸ’¬ 0    πŸ“Œ 0
Post image Post image Post image

#PathSky Middle aged woman, leg mass. It all looks like this. More nuclear palisading/ Verocay bodies than you’ve seen in your entire career. Nerve sheath? S100/Sox10 negative. LMS? Negative for all the muscle markers. Any other ideas?

20.05.2025 21:30 β€” πŸ‘ 13    πŸ” 5    πŸ’¬ 3    πŸ“Œ 0

ROFL 🀣

04.06.2025 16:44 β€” πŸ‘ 1    πŸ” 0    πŸ’¬ 0    πŸ“Œ 0
Preview
Desmoid Fibromatosis With TP53 Mutation and Striking Nuclear Pleomorphism - PubMed Desmoid fibromatosis is a myofibroblastic neoplasm of intermediate biologic potential, which has a strong predilection for local recurrence but does not metastasize. Arranged in long, sweeping fascicl...

So- desmoid fibromatosis with bizarre cells and p53 mutant pattern- r/o Li-Fraumeni syndrome.

Happy Friday!

pubmed.ncbi.nlm.nih.gov/36908221/

30.05.2025 17:38 β€” πŸ‘ 10    πŸ” 2    πŸ’¬ 1    πŸ“Œ 0
Post image Post image Post image Beta-catenin

Beta-catenin

#PathSky Abdominal wall mass, middle aged woman. Women basically only get 3 abdominal wall tumors, so it’s got to be a desmoid, DFSP or endometriosis. Classic desmoid morphology, aberrant nuclear beta-catenin. I can hear the cries of β€œboring..”

30.05.2025 17:31 β€” πŸ‘ 10    πŸ” 3    πŸ’¬ 1    πŸ“Œ 0

Beautiful MIFS thanks.

12.05.2025 13:58 β€” πŸ‘ 1    πŸ” 0    πŸ’¬ 0    πŸ“Œ 0

This of course is what we now call β€œmyxoinflammatory fibroblastic sarcoma”. Originally reported as β€œInflammatory myxohyaline tumor of distal extremities with virocyte or Reed-Sternberg-like cells”. I think this older name helps us remember the distinctive diagnostic features of this sarcoma.

29.04.2025 18:46 β€” πŸ‘ 5    πŸ” 2    πŸ’¬ 1    πŸ“Œ 0
Post image Post image Post image Post image

#PathSky 43M, forearm mass. At first glance, it looks like some kind of inflammatory process, maybe a synovitis with plasma cells, fibrosis and foamy macrophages.

29.04.2025 18:38 β€” πŸ‘ 5    πŸ” 3    πŸ’¬ 1    πŸ“Œ 0

Degenerating vegetable. Likely a ruptured diverticulitis with a big reactive soft tissue mass. Happy Friday!!

02.05.2025 18:25 β€” πŸ‘ 4    πŸ” 1    πŸ’¬ 1    πŸ“Œ 0
Post image Post image Post image

Those of you following my cases know the answer is usually β€œlook at the slides some more”.

02.05.2025 18:24 β€” πŸ‘ 3    πŸ” 1    πŸ’¬ 1    πŸ“Œ 0
Post image Post image Post image Post image

#PathSky 45 with a forearm skin tumor. Highly cellular, monomorphic spindle cell tumor with a β€œpacketed” pattern and deep, nodular lymphoid aggregates.

08.05.2025 16:36 β€” πŸ‘ 9    πŸ” 6    πŸ’¬ 2    πŸ“Œ 0
Post image

Check out our Current Issue!!

Figure from "Claudin 18.2 Immunohistochemistry Expression in Gastric Cancer: A Systematic Review” by Lop Gros, et al.

πŸ”— Read the full article here: journals.lww.com/appliedimmun...

05.03.2025 23:58 β€” πŸ‘ 6    πŸ” 4    πŸ’¬ 1    πŸ“Œ 0

Awesome!

12.05.2025 13:53 β€” πŸ‘ 0    πŸ” 0    πŸ’¬ 0    πŸ“Œ 0
Post image Post image

Incredible "Schwannomatoid" pattern in a monophasic synovial sarcoma. #skypath #pathsky #BSTPath #Sarcoma

01.03.2025 02:41 β€” πŸ‘ 8    πŸ” 2    πŸ’¬ 1    πŸ“Œ 0
Thoracic Pathology Unknown Slide Conference Feb 2019
YouTube video by Sanjay Mukhopadhyay Thoracic Pathology Unknown Slide Conference Feb 2019

youtu.be/4i1mnz889bo?...

04.05.2025 02:48 β€” πŸ‘ 3    πŸ” 2    πŸ’¬ 0    πŸ“Œ 1

Vaccines don’t cause autism.
Vaccine ingredients don’t cause autism. Vaccines don’t worsen autism symptoms.

Millions of data points over decades show this.

A paper published in a β€œjournal” that funded the β€œstudy” doesn’t supersede reality.

Stop spreading lies that harm people.

1/

27.01.2025 03:09 β€” πŸ‘ 436    πŸ” 97    πŸ’¬ 5    πŸ“Œ 3
Post image

www.sciencedirect.com/science/arti...
Link to the paper that should help everyone diagnose keratoacanthoma with greater confidence.

14.01.2025 08:35 β€” πŸ‘ 13    πŸ” 4    πŸ’¬ 1    πŸ“Œ 0
Preview
Recurrent novel HMGA2-NCOR2 fusions characterize a subset of keratin-positive giant cell-rich soft tissue tumors - PubMed Giant cell tumors of soft tissue (GCT-ST) are rare low-grade neoplasms that were at one time thought to represent the soft tissue counterparts of GCT of bone (GCT-B) but are now known to lack the H3F3...

pubmed.ncbi.nlm.nih.gov/33742141/

#pathsky

11.01.2025 10:36 β€” πŸ‘ 4    πŸ” 0    πŸ’¬ 0    πŸ“Œ 0
Preview
Xanthogranulomatous Epithelial Tumors and Keratin-Positive Giant Cell Rich Tumors of Soft Tissue and Bone: Two Sides of the Same Coin - PubMed Xanthogranulomatous epithelial tumor is a recently described soft tissue tumor characterized by subcutaneous location, partial encapsulation, a xanthogranulomatous inflammatory cell infiltrate, and ke...

We eventually figured out that this was a new entity, β€œxanthogranulomatous epithelial tumor”. Locally aggressive, non-metastasizing. They turn out to have unique HMGA2::NCOR fusions. β€œKeratin-positive giant cell tumor of bone” is the same thing. pubmed.ncbi.nlm.nih.gov/38278607/

26.12.2024 19:06 β€” πŸ‘ 8    πŸ” 2    πŸ’¬ 1    πŸ“Œ 0
Post image Post image Post image Post image

#PathSky It’s interesting how we discover things sometimes. On this particular Sunday, I got an email from an Ortho Onc asking what a JXG was. β€œJust a benign skin tumor.” β€œWell, this is deep and eroding bone.” β€œErm, let me look at it…” Mostly looks like JXG, but what are those eosinophilic cells?

26.12.2024 18:59 β€” πŸ‘ 17    πŸ” 6    πŸ’¬ 1    πŸ“Œ 0

@kriyer is following 20 prominent accounts