Blair Strang's Avatar

Blair Strang

@strangviruslab.bsky.social

City St George's, University of London. HCMV, anti-viral drugs, placental infection, transmission, etc etc etc. #JGV Editoral Board. Views my own.

585 Followers  |  204 Following  |  317 Posts  |  Joined: 14.10.2023  |  2.4893

Latest posts by strangviruslab.bsky.social on Bluesky

Preview
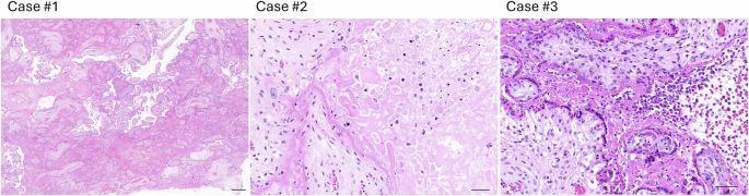
SARS-CoV-2 delta and omicron variants alter trophoblast cell fusion and syncytiotrophoblast dynamics: new insights into placental vulnerability - Cell Death & Disease Cell Death & Disease - SARS-CoV-2 delta and omicron variants alter trophoblast cell fusion and syncytiotrophoblast dynamics: new insights into placental vulnerability

SARS-CoV-2 delta and omicron variants alter trophoblast cell fusion and syncytiotrophoblast dynamics: new insights into placental vulnerability

www.nature.com/articles/s41...

07.10.2025 15:01 β€” πŸ‘ 0    πŸ” 2    πŸ’¬ 0    πŸ“Œ 0
Professor Sir John Gurdon FRS (1933-2025) | Magdalene College Magdalene College is deeply saddened to announce the death of Professor Sir John Gurdon FRS, who served as Master of the College from 1995 to 2002.

2012 Nobel laureate John Gurdon has died. His work was central to both the development of animal cloning and the possibility of reprogramming cells to a different state. A giant of cell and developmental biology.
www.magd.cam.ac.uk/news/profess...

07.10.2025 15:51 β€” πŸ‘ 52    πŸ” 25    πŸ’¬ 0    πŸ“Œ 0
Post image

Fwd: Fwd: β€œI hope this email finds you well”

07.10.2025 08:37 β€” πŸ‘ 276    πŸ” 50    πŸ’¬ 7    πŸ“Œ 8

β€œMore evidence of the link between herpes viruses and dementia.
The shingles vaccine not only reduces the chance of getting shingles (not worth trying) but also reduces the risk of developing dementia” (I hope this translates ok. )

Link below πŸ‘‡

06.10.2025 17:11 β€” πŸ‘ 1    πŸ” 0    πŸ’¬ 0    πŸ“Œ 0
Preview
Medicine Nobel goes to scientists who revealed secrets of immune system β€˜regulation’ Mary Brunkow, Fred Ramsdell and Shimon Sakaguchi discovered cells that protect the body from autoimmune diseases.

This year’s Nobel Prize in Physiology or Medicine has been awarded to three scientists for discovering a class of immune cells that help to prevent the body from attacking its own tissues

go.nature.com/48QDdAJ

06.10.2025 15:56 β€” πŸ‘ 123    πŸ” 42    πŸ’¬ 3    πŸ“Œ 2

I once had norovirus.

Once was enough.

04.10.2025 06:34 β€” πŸ‘ 1    πŸ” 0    πŸ’¬ 0    πŸ“Œ 0

What took you so long….?

04.10.2025 06:31 β€” πŸ‘ 0    πŸ” 0    πŸ’¬ 0    πŸ“Œ 0

Hope you are well!

02.10.2025 16:40 β€” πŸ‘ 0    πŸ” 0    πŸ’¬ 1    πŸ“Œ 0
Preview
A modified cyclosporine enhances lentivector transduction ex vivo and in vivo by degrading IFITM3 Intrinsic innate immune barriers have evolved to suppress viral infection and can reduce effective gene delivery in gene therapy. We have developed BG147, a novel cyclosporine A analogue, optimised vi...

New preprint from our lab, led by our postdocs Dara Annett and Kate Morling in collaboration with Selwood Lab!

We developed a modified cyclosporine, BG147, which enhances lentivector gene therapy transduction, ex vivo in HSPC and in vivo in mouse photoreceptors, by degrading IFITM3. Check it out!

29.09.2025 15:38 β€” πŸ‘ 12    πŸ” 7    πŸ’¬ 0    πŸ“Œ 0
Preview
Viro3D: a comprehensive database of virus protein structure predictions | Molecular Systems Biology imageimageViro3D provides proteome-level, high confidence AI-protein structure predictions for >4,400 viruses, allowing mapping of form and function across the human and animal virosphere. Viro3D i...

New exciting resource published!! The Viro3D paper is out, describing our comprehensive database of predicted virus protein structures! πŸ’»πŸ§¬

Work with @ulad-litvin.bsky.social , @grovearmada.bsky.social , Alex Jack, @bljog.bsky.social , @davidlrobertson.bsky.social

www.embopress.org/doi/full/10....

28.09.2025 05:39 β€” πŸ‘ 44    πŸ” 20    πŸ’¬ 1    πŸ“Œ 0
Viro3D

🚨 New Web Resource Alert! 🚨 We're delighted to share Viro3D a database of >85000 viral protein structure predictions from >4400 human & animal viruses.

πŸ”— viro3d.cvr.gla.ac.uk
πŸ“„ www.embopress.org/doi/full/10....

@molsystbiol.org @cvrinfo.bsky.social @uofgmvls.bsky.social #Virology #AlphaFold πŸ§ͺ 🦠

26.09.2025 11:36 β€” πŸ‘ 34    πŸ” 19    πŸ’¬ 1    πŸ“Œ 0

Earlier this year we took our Escape Lab outreach activity on the road, funded by @microbiologysociety.org & @biochemsoc.bsky.social Outreach Grants. We had a blast teaching kids about viruses & the drug discovery process. Check out how Microbiology Society's Adam & Clare got on with Escape Lab!

25.09.2025 11:20 β€” πŸ‘ 7    πŸ” 3    πŸ’¬ 0    πŸ“Œ 0

β€œMario Draghi’s warning on EU research β€˜rings true’ It does. I’m part of a consortium that was deemed fundable yet there’s no money to fund it. Many others have been there. Europe needs to do better, if we genuinely want to attract colleagues and research topics. But also for those already here.

25.09.2025 11:42 β€” πŸ‘ 3    πŸ” 2    πŸ’¬ 1    πŸ“Œ 0
Preview
Harvard Dean Was Paid $150,000 as an Expert Witness in Tylenol Lawsuits

MAGA/MAHA love to cite his opinions, but he got *at least* $150,000 to be an expert witness in anti-Tylenol lawsuits.

Conflicts of interest don’t bother MAGA/MAGA world at allβ€”in fact, they almost seem to be a requirement (see: Dr Oz selling folinic acid)

🎁 link

www.nytimes.com/2025/09/23/h...

25.09.2025 13:14 β€” πŸ‘ 91    πŸ” 30    πŸ’¬ 6    πŸ“Œ 10
Preview
Philanthropies Strike a Promising Deal to Turn Back H.I.V.

This is huge: β€œA drug that provides near-perfect protection against H.I.V. with shots just twice a year will be made available at $40 per patient annually in low- and middle-income countries, offering new hope… making lenacapavir a realistic choice in countries with constrained resources.”

24.09.2025 11:51 β€” πŸ‘ 4163    πŸ” 1309    πŸ’¬ 4    πŸ“Œ 152
Preview
Remembering David Baltimore, a titan who transformed biology and spoke bluntly The influential Nobel laureate ran institutions, trained future scientific leaders, survived a scandal, and shaped policy

David Baltimore, for much of the past three decades, has been one of my most helpful, thoughtful sources. I wrote an obit about his remarkable career, and I included a few of my interactions with him. www.science.org/content/arti...

09.09.2025 22:42 β€” πŸ‘ 51    πŸ” 20    πŸ’¬ 2    πŸ“Œ 1

@shivkumarlab.bsky.social πŸ‘† ?

10.09.2025 18:06 β€” πŸ‘ 1    πŸ” 0    πŸ’¬ 0    πŸ“Œ 0

Read this, then sign the petition below. Every bit of pressure helps. You can make a difference!

www.change.org/p/demand-rfk...

10.09.2025 17:05 β€” πŸ‘ 3    πŸ” 2    πŸ’¬ 0    πŸ“Œ 0
Preview
David Baltimore, Nobel-Winning Molecular Biologist, Dies at 87

Obituary for David Baltimore; huge influence in more aspects of virology than can possibly be listed in a post.

www.nytimes.com/2025/09/07/s...

08.09.2025 21:23 β€” πŸ‘ 27    πŸ” 13    πŸ’¬ 0    πŸ“Œ 1
Preview
A nanobody specific to prefusion glycoprotein B neutralizes HSV-1 and HSV-2 - Nature A neutralizing nanobody specific to the prefusion conformation of herpes simplex virus glycoprotein B has cross-species activity and offers insights into virus neutralization, possible immunogens and an attractive avenue for antiviral interventions.

Nature research paper: A nanobody specific to prefusion glycoprotein B neutralizes HSV-1 and HSV-2

go.nature.com/4mZHupC

09.09.2025 13:24 β€” πŸ‘ 22    πŸ” 9    πŸ’¬ 0    πŸ“Œ 2
Post image

Yesterday was the 11th anniversary of the biggest scandal of the Obama administration.

29.08.2025 18:35 β€” πŸ‘ 1097    πŸ” 197    πŸ’¬ 63    πŸ“Œ 28

A very special day today, as I look back and remember our trepidation on how this crazy idea of a new pathogen database would go down. Would our work be for naught?

But no! I'm so grateful that we've been able to make a big impact on sequence sharing! Here's to year 2! πŸ₯‚

27.08.2025 16:18 β€” πŸ‘ 36    πŸ” 7    πŸ’¬ 1    πŸ“Œ 0

Soo.... the last time it was online was April 1 2025 (consistently offline April 4 onwards)
web.archive.org/web/20250401...

My (limited) understanding is that hmpdacc.org is recently run by a team at IGS UMD, and the website being offline may or may not relate to changes at the NIH

21.08.2025 22:54 β€” πŸ‘ 2    πŸ” 2    πŸ’¬ 1    πŸ“Œ 0

Curious about tick virology? Read my latest piece in @uk.theconversation.com where I explain findings of my latest research article www.nature.com/articles/s41...

Hope it will helps people to understand the importance of studying tick and their pathogens #ScienceforAll #WomenInScience #Arbovirose

19.08.2025 20:47 β€” πŸ‘ 10    πŸ” 5    πŸ’¬ 0    πŸ“Œ 0
Video thumbnail

"Treating the root cause" is a trope abused in alternative/integrative/functional medicine to sow distrust in mainstream medicine.

Ironically, a scientifically implausible β€œroot cause” is often treated with pseudoscientific approaches.

H/t @glaucomflecken.bsky.social

18.08.2025 22:21 β€” πŸ‘ 89    πŸ” 20    πŸ’¬ 6    πŸ“Œ 0
Preview
Oestrogen defends against kidney damage caused by iron-dependent cell death Differences in protection against ferroptosis explain why men and postmenopausal women are more susceptible than premenopausal women to acute kidney injury.

hmm I wonder if this might underly some of the sex differences in acute viral haemorrhagic fevers (eg the damage in european hantaviruses manifests as acute renal damage - particularly in young men)

www.nature.com/articles/d41...

18.08.2025 17:59 β€” πŸ‘ 1    πŸ” 1    πŸ’¬ 0    πŸ“Œ 0
Preview
Job Vacancy at the University of Surrey: Research Fellow A in Virology & Cell Biology The University of Surrey is a global community of ideas and people, dedicated to life-changing education and research.Β We are ambitious and have a bold vision of what we want to achieve - shaping ours...

Two-year postdoc position available! πŸ¦ πŸ”¬

Investigating a COPD drug to see if it can reduce inflammation & tissue remodelling following respiratory virus infection.

Lots of cell culture and primary cell culture, qPCR, microscopy

jobs.surrey.ac.uk/Vacancy.aspx...

15.08.2025 16:20 β€” πŸ‘ 1    πŸ” 2    πŸ’¬ 0    πŸ“Œ 0
Preview
An mRNA-based broad-spectrum antiviral inspired by ISG15 deficiency protects against viral infections in vitro and in vivo A human inborn error of immunity guided discovery and development of a prophylactic, mRNA-based antiviral.

An mRNA-based broad-spectrum antiviral inspired by ISG15 deficiency protects against viral infections in vitro and in vivo www.science.org/doi/10.1126/...

15.08.2025 13:42 β€” πŸ‘ 1    πŸ” 2    πŸ’¬ 0    πŸ“Œ 0
Preview
Kennedy's case against mRNA vaccines collapses under his own evidence β€œThis isn't scientific disagreement. It's either staggering incompetence or willful misrepresentation,” writes infectious disease physician Jake Scott.

This πŸ‘‡

Brilliant from @jakescottmd.bsky.social

www.statnews.com/2025/08/13/r...

13.08.2025 18:54 β€” πŸ‘ 55    πŸ” 26    πŸ’¬ 2    πŸ“Œ 1
Preview
Pregnancy reduces COVID-19 vaccine immunity against novel variants - npj Vaccines npj Vaccines - Pregnancy reduces COVID-19 vaccine immunity against novel variants

Pregnancy reduces COVID-19 vaccine immunity against novel variants

www.nature.com/articles/s41...

13.08.2025 14:22 β€” πŸ‘ 1    πŸ” 1    πŸ’¬ 0    πŸ“Œ 0

@strangviruslab is following 19 prominent accounts