Jonathan Zuckerman MD PhD's Avatar

Jonathan Zuckerman MD PhD

@jzrenalpath.bsky.social

Service Chief, Renal Pathology, UCLA Department of Pathology and Laboratory Medicine. Views are my own.

1,208 Followers  |  165 Following  |  169 Posts  |  Joined: 09.11.2024  |  2.2544

Latest posts by jzrenalpath.bsky.social on Bluesky

Post image Post image Post image

Bx for nephrotic syndrome in an IV drug user with multiple infections. LM was all medulla, but good enough to make a diagnosis. AA amyloidosis; very common bx result in this clinical setting. #renalpath #pathsky #nephsky

07.10.2025 17:32 β€” πŸ‘ 2    πŸ” 0    πŸ’¬ 0    πŸ“Œ 0

sure

05.10.2025 16:30 β€” πŸ‘ 0    πŸ” 0    πŸ’¬ 0    πŸ“Œ 0
Post image Post image Post image

Bx for new onset NS in an older adult. Serologic work up including SPEP/UPEP IFE negative. Bx shows membranous pattern with few double contours. IgG3-k restriction and mottle EM deposits c/w PGNMID with membranous predominant pattern. PLA2R- #renalpath #pathsky #nephsky

05.10.2025 15:30 β€” πŸ‘ 8    πŸ” 2    πŸ’¬ 1    πŸ“Œ 0
Post image Post image Post image

Kidney txp biopsy for AKI (~6 post txp). Tubular injury associated with granular and ropey trichome positive casts. IHC confirmed myoglobin cast nephropathy. CK found to be very high; thought to be due to statin related myopathy. #renalpath #pathsky #nephsky

04.10.2025 17:17 β€” πŸ‘ 6    πŸ” 4    πŸ’¬ 0    πŸ“Œ 0
Post image Post image

Heavy Chains, Heavy Consequences: A Case of Concomitant Heavy Chain Amyloidosis and Heavy Chain Deposition Disease. Fibrils and powdery deposits. #renalpath #nephsky #pathsky www.sciencedirect.com/science/arti...

17.09.2025 18:13 β€” πŸ‘ 7    πŸ” 5    πŸ’¬ 1    πŸ“Œ 0
Video thumbnail

πŸ”¬ We are now recruiting a Renal Pathologist! #pathology #path2path #PathSky #renalpath

Join our team today! ➨ bit.ly/46CqsrU

17.09.2025 16:33 β€” πŸ‘ 2    πŸ” 1    πŸ’¬ 0    πŸ“Œ 0
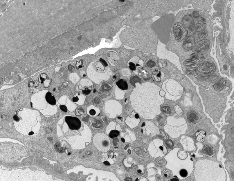
Post image

Also some rare myelin figures in a podocyte, because why not. #renalpath #nephsky #pathsky

11.09.2025 17:44 β€” πŸ‘ 6    πŸ” 0    πŸ’¬ 0    πŸ“Œ 0
Post image Post image Post image Post image

Multiple diagnoses not uncommon in kidney biopsies. This case showed nodular diabetic nephropathy, a mostly chronic ANCA associated GN, and to top it off some interstitial ALECT2 amyloidosis. #renalpath #nephsky #pathsky

11.09.2025 17:21 β€” πŸ‘ 11    πŸ” 5    πŸ’¬ 2    πŸ“Œ 0
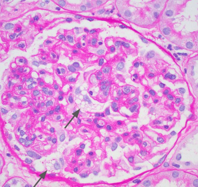
Post image Post image Post image Post image

Lupus nephritis case with prominent podocyte cytoplasmic vacuolization on LM with myelin figures revealed by EM. Probably HCQ effect but given its prominence genetic etiologies should be excluded (e.g., Fabry, LMX1B). #renalpath #pathsky #nephsky

08.09.2025 23:06 β€” πŸ‘ 12    πŸ” 6    πŸ’¬ 1    πŸ“Œ 0
Post image Post image Post image Post image

Interesting case of AL-amyloidosis. Massive vascular deposits, even in hilar arterioles with glomerular sparring. Patient had minimal proteinuria given lack of glomerular amyloid. #renalpath #pathsky #nephsky

04.09.2025 23:14 β€” πŸ‘ 12    πŸ” 4    πŸ’¬ 2    πŸ“Œ 0
Post image

toluidine blue stained section was also quite pleasing. #renalpath #pathsky #nephsky

28.08.2025 22:06 β€” πŸ‘ 3    πŸ” 0    πŸ’¬ 0    πŸ“Œ 0
Post image Post image

Nice example of urate crystals in gouty tophi involving the medulla. Polarizable crystals can be see using unstained sections from the IF tissue. #renalpath #pathsky #nephsky

28.08.2025 19:04 β€” πŸ‘ 10    πŸ” 3    πŸ’¬ 1    πŸ“Œ 0
Post image Post image Post image

Another example of an 'incidental' finding next to the tumor in a nephrectomy specimen. Amyloidosis (probably LECT2). Reminder not too overlook the non-neoplastic tissue. #renalpath #pathsky #nephsky

20.08.2025 16:55 β€” πŸ‘ 8    πŸ” 4    πŸ’¬ 0    πŸ“Œ 0
Post image

ANCA GN Working Group Meeting
More info for EUVAS Florence Working Group - Symposium on ANCA GN Classification-Scoring Systems, click link
πŸ‘‰https://vasculitis.org/
Register: app.donorfy.com/form/ZU81NH9...
@brixsilke.bsky.social & Ingeborg Bajema #renalpath #vasculitis #pathsky #nephsky

18.08.2025 22:12 β€” πŸ‘ 4    πŸ” 4    πŸ’¬ 0    πŸ“Œ 0
Post image Post image Post image

Multi-focal severe necrotizing arteritis in a kidney biopsy with an ANCA vasculitis. Interestingly, foci of arteritis were only present in IF/EM tissue. Illustrating how even when severe arteritis can be easily missed due to sampling in a small biopsy. #renalpath #nephsky #pathsky

15.08.2025 15:35 β€” πŸ‘ 11    πŸ” 6    πŸ’¬ 0    πŸ“Œ 0
Preview
Microscopic Tubulovenous Communications in Nonneoplastic Kidneys: A Single-Center Case Series and Review of the Literature Pathological connection between the kidney tubules and veins is known as a microscopic tubulovenous communication we refer to as a tubulovenous fistula (TVF). This finding has been reported in a few s...

Great work by our chief resident @clilleymd.bsky.social on charactering microscopic tubulo-venous communications in kidney biopsies. www.kidneymedicinejournal.org/article/S259... . Here's another nice example (x.com/JZRenalPath/...) #renalpath #pathsky #nephsky

14.08.2025 17:40 β€” πŸ‘ 6    πŸ” 5    πŸ’¬ 0    πŸ“Œ 0
Post image Post image Post image

Kidney txp biopsy with histologic features of acute pyelonephritis. Neutrophilic tubulitis, neutrophilic casts, and tubules which seem to explode out. Cellular rejection typically is not neutrophilic and inflammation hits the tubules from the outside in. #renalpath #nephsky #pathsky

11.08.2025 17:28 β€” πŸ‘ 8    πŸ” 5    πŸ’¬ 0    πŸ“Œ 0
Post image

these are the areas I am referring to in the EM in one image. Not super specific, but could be the correlate for your IF staining.

10.08.2025 20:15 β€” πŸ‘ 2    πŸ” 0    πŸ’¬ 0    πŸ“Œ 0

or perhaps secondary overload injury from an original membranous nephropathy that has long resolved with just some IC staining. This is the best way I can put this together, but just my opinion. I agree this is not a typical case.

10.08.2025 20:13 β€” πŸ‘ 1    πŸ” 0    πŸ’¬ 1    πŸ“Œ 0

Given the GBM thickening and maladpative glomerular injury(hypertrophy), the IC staining may be incidental at this time and the patient's dx is mostly overload injury. Is the patient obese, have diabetes, HTN, smoking, MPN, low bithweight, etc.?

10.08.2025 20:10 β€” πŸ‘ 1    πŸ” 0    πŸ’¬ 1    πŸ“Œ 0

despite being much weak in reality. The GBM in the EM images do seem to show some undulation of the subepithelial surface which may be a subtle clue to some small mostly resorbed subepithelial deposits. So we may be seeing minimal residual subepithelial deposits from prior disease.

10.08.2025 20:10 β€” πŸ‘ 1    πŸ” 0    πŸ’¬ 1    πŸ“Œ 0

GBMs looks thick, you also mention glomerular hypertrophy. Wonder if some of the staining you see in the capillary loops is just "pseudolinear" IgG as we see in diabetic glomerulopathy and other metabolic dx associated glomerulopathy. Perhaps the small granular deposits are being enhanced here.

10.08.2025 20:10 β€” πŸ‘ 1    πŸ” 0    πŸ’¬ 1    πŸ“Œ 0

Can you post some of the EM images. Did you have conventional EM not just re-processing on the frozen?

09.08.2025 18:54 β€” πŸ‘ 0    πŸ” 0    πŸ’¬ 1    πŸ“Œ 0

"stage 0" membranous nephopathy can occur. Typically this seen early in recurrent MN in transplants. but I am very surprised by the EM discrepancy in this case. Can you clarify the clinical situation for the biopsy?

09.08.2025 18:52 β€” πŸ‘ 3    πŸ” 0    πŸ’¬ 0    πŸ“Œ 0
Post image

The August issue of CJASN is now available online! Topics covered this month include:
- GLP-1 receptor antagonists in patients receiving dialysis
- Transportation access and dialysis outcomes
- and more
Check out the issue here: journals.lww.com/cja...

#ASNCJASN
Cover by @JZRenalpath et al.

08.08.2025 15:00 β€” πŸ‘ 1    πŸ” 1    πŸ’¬ 0    πŸ“Œ 0
Post image

πŸ”¬ We are now recruiting a Renal Pathologist! #pathology #path2path #PathSky #renalpath

Join our team today! ➨ bit.ly/4ll8K09

07.08.2025 19:16 β€” πŸ‘ 3    πŸ” 3    πŸ’¬ 0    πŸ“Œ 0
Post image Post image Post image Post image

Wide variety of morphologies in this case of crystalline light chain proximal tubulopathy: mottle lysosomes, crystals, and fibrils. #renalpath #nephsky #pathsky

06.08.2025 21:32 β€” πŸ‘ 9    πŸ” 6    πŸ’¬ 0    πŸ“Œ 0
Post image Post image Post image Post image

One of the more subtle amyloid cases I have seen. Just a few deposits in 2 gloms by LM. Just enough congo red staining. Glad to catch it in the EM as well. #renalpath #nephsky #pathsky

31.07.2025 18:19 β€” πŸ‘ 11    πŸ” 4    πŸ’¬ 0    πŸ“Œ 0

Thank you. I am fortunate to have an excellent histology lab. The staining is mostly done on the grid (Uranyl acetate/ lead citrate). Osmium tetroxide is used in block preparation which also provides some contrast.

26.07.2025 14:59 β€” πŸ‘ 1    πŸ” 0    πŸ’¬ 0    πŸ“Œ 0
Post image Post image Post image

Some well formed "eye lashes" on these capillary loops in a case of AL-amyloidosis. Podocytes getting skewered by the spicules in the EM. #renalpath #pathsky #nephsky.

24.07.2025 22:21 β€” πŸ‘ 10    πŸ” 4    πŸ’¬ 1    πŸ“Œ 0

@jzrenalpath is following 20 prominent accounts