Dr Tatiana Hitchen's Avatar

Dr Tatiana Hitchen

@txhitchen.bsky.social

Anatomical pathology trainee, swapped scalpel for microtome. Philosophy/Law grad. Various interests: my work, human rights, economics, running, guinea pigs.

105 Followers  |  174 Following  |  99 Posts  |  Joined: 10.11.2024  |  1.9056

Latest posts by txhitchen.bsky.social on Bluesky

Post image

Saw one in Melbourne recently!

03.10.2025 23:13 β€” πŸ‘ 2    πŸ” 1    πŸ’¬ 1    πŸ“Œ 0

Ok, ok. Here’s the twist - here’s the patient #pathsky #PathSky #dermpath

15.09.2025 04:09 β€” πŸ‘ 1    πŸ” 0    πŸ’¬ 0    πŸ“Œ 0

Did anyone pick the lack of solar elastosis and suspiciously high number of hair follicles?

15.09.2025 01:12 β€” πŸ‘ 0    πŸ” 0    πŸ’¬ 0    πŸ“Œ 0

My best diagnosis is trichofolliculoma.

12.09.2025 03:53 β€” πŸ‘ 0    πŸ” 0    πŸ’¬ 0    πŸ“Œ 0

Thoughts??
There’s a twist I won’t reveal yet πŸ‘€

11.09.2025 06:05 β€” πŸ‘ 0    πŸ” 0    πŸ’¬ 1    πŸ“Œ 0
Post image Post image Post image Post image

Micro - a bit unexpected? Subcut as anticipated however appears to be an adnexal cyst lined containing numerous hair follicles. Mitotically active!!

11.09.2025 06:05 β€” πŸ‘ 0    πŸ” 0    πŸ’¬ 1    πŸ“Œ 1
Post image

Cut surface showed a cystic lesion filled with grey caseous material. Expected to be epidermal inclusion cyst

11.09.2025 06:05 β€” πŸ‘ 0    πŸ” 0    πŸ’¬ 1    πŸ“Œ 0
Post image Post image

#PathSky #dermpath
Subcutaneous neck lump, present for 3+ years, slow growth.
Macro: 40mm. Appears encapsulated. Unusually well excised!

11.09.2025 06:05 β€” πŸ‘ 1    πŸ” 0    πŸ’¬ 1    πŸ“Œ 1
Post image

#PathSky
When the ovary ova-achieves and makes prostate.

10.09.2025 05:07 β€” πŸ‘ 2    πŸ” 0    πŸ’¬ 0    πŸ“Œ 0
Video thumbnail

I enjoyed this. And what an infectious laugh. ❀️

"Reporter left speechless after witnessing Japan's new $70 million Maglev train in action at 310 mph"

02.09.2025 20:29 β€” πŸ‘ 16323    πŸ” 4639    πŸ’¬ 28    πŸ“Œ 994
Post image

Unexpected item in the grossing area

03.09.2025 04:16 β€” πŸ‘ 0    πŸ” 0    πŸ’¬ 0    πŸ“Œ 0
Post image

PAS or Grocott not required here 😬
#PathSky

05.08.2025 11:58 β€” πŸ‘ 2    πŸ” 1    πŸ’¬ 0    πŸ“Œ 0

This - and subsequently reading Dexter Holland's Wikipedia entry - has absolutely made my day.

02.08.2025 09:44 β€” πŸ‘ 2    πŸ” 0    πŸ’¬ 0    πŸ“Œ 0
Post image Post image Post image

#PathSky
Biopsy with gastritis on scope. Epithelial stripping, dense inflammatory infiltrate in the lamina propria, and thick subepithelial collagen band highlighted on trichrome -> collagenous gastritis.
No significant neutrophil population and H. Pylori negative.

16.07.2025 22:11 β€” πŸ‘ 5    πŸ” 3    πŸ’¬ 0    πŸ“Œ 0
Post image

#PathSky

Ulcerated skin lesion. Sheets of immature cells, mitoses +++, eosinophilic myelocytes (eosinophilic granular cytoplasm); MPO and CD43+

Haem team is very good and never fails to give the key history of AML.

14.07.2025 06:52 β€” πŸ‘ 1    πŸ” 0    πŸ’¬ 0    πŸ“Œ 0
Post image

Heading into my cytology era. #PathSky

03.07.2025 07:18 β€” πŸ‘ 2    πŸ” 0    πŸ’¬ 0    πŸ“Œ 0
Post image

T is for tumour #PathSky

30.06.2025 02:29 β€” πŸ‘ 3    πŸ” 1    πŸ’¬ 0    πŸ“Œ 0

Plenty studies showing that your postcode is a better predictor of your health outcomes than your genome.

22.06.2025 06:43 β€” πŸ‘ 1413    πŸ” 483    πŸ’¬ 53    πŸ“Œ 12

This is such a good point and not made often enough!

15.06.2025 11:45 β€” πŸ‘ 1    πŸ” 0    πŸ’¬ 0    πŸ“Œ 0

"We're all individuals!"

15.06.2025 09:03 β€” πŸ‘ 2    πŸ” 0    πŸ’¬ 1    πŸ“Œ 0
Distracted foreign body looking at the right mainstem bronchus as the left mainstem bronchus looks on offendedly

Distracted foreign body looking at the right mainstem bronchus as the left mainstem bronchus looks on offendedly

04.06.2025 14:04 β€” πŸ‘ 68    πŸ” 9    πŸ’¬ 3    πŸ“Œ 0
Post image Post image

Gratuitously posting this because I think kidney tumours are rewarding. Chromophobe RCC, plant-like cell walls and wrinkled nuclei. Very pretty staining for Hale’s colloidal iron. (Tumour was 133 mm!)
#PathSky

03.06.2025 06:38 β€” πŸ‘ 4    πŸ” 2    πŸ’¬ 0    πŸ“Œ 0

If you haven't already read Unshrinking, and everything else for that matter, by @katemanne.bsky.social, I highly recommend.

31.05.2025 23:11 β€” πŸ‘ 2    πŸ” 0    πŸ’¬ 0    πŸ“Œ 0
Post image

Enough time to listen to All Too Well (10-Minute Version) 28,250,650,000 times.

29.05.2025 00:08 β€” πŸ‘ 26    πŸ” 13    πŸ’¬ 2    πŸ“Œ 0

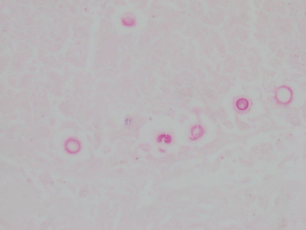
A slightly degenerate example of cryptococcus, which seems a bit nicer than met Ca.

22.05.2025 08:47 β€” πŸ‘ 1    πŸ” 0    πŸ’¬ 0    πŸ“Œ 0
Post image Post image

PAS and mucicarmine

22.05.2025 08:47 β€” πŸ‘ 1    πŸ” 0    πŸ’¬ 1    πŸ“Œ 0
Post image

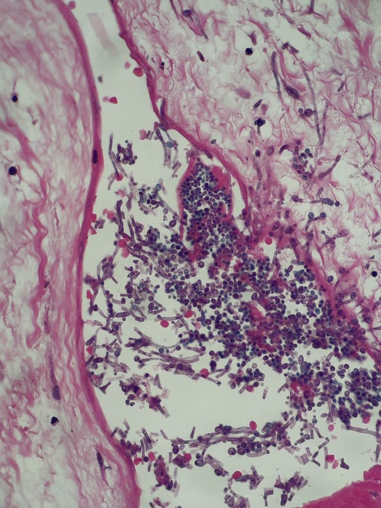
PET-avid 🫁 lesion, hx of SCC elsewhere, biopsied.
#PathSky

22.05.2025 08:47 β€” πŸ‘ 2    πŸ” 0    πŸ’¬ 1    πŸ“Œ 0
Preview
WEHI Spatial Technology Symposium 2025 Join us for a two day symposium exploring everything spatial!

πŸ”¬ Working with #spatial biology or keen to explore its potential?

Register now for the WEHI Spatial Technology Symposium 2025!

πŸ”Ž Expert talks, poster presentations & networking
πŸ“ At WEHI and online
πŸ‘‡ Event info and registration

13.05.2025 02:00 β€” πŸ‘ 5    πŸ” 4    πŸ’¬ 0    πŸ“Œ 0

You and me both πŸ˜…

13.05.2025 06:00 β€” πŸ‘ 0    πŸ” 0    πŸ’¬ 0    πŸ“Œ 0

Welcome back to the better place and I can’t think of a more on-brand moment captured by that photo

13.05.2025 05:52 β€” πŸ‘ 1    πŸ” 0    πŸ’¬ 0    πŸ“Œ 0

@txhitchen is following 20 prominent accounts