PFCC Director's Avatar

PFCC Director

@pfccdirector.bsky.social

Healthcare Team passionate in the "the power of partnerships" to improve and enhance Patient- and Family-Centered Care. #CancerAwareness #Healthequity #PatientEngagement #LCSDay2025 #Radiology #Imaging #RadSky #WomensHealth #LCAM

62 Followers  |  107 Following  |  5 Posts  |  Joined: 14.11.2024  |  1.8368

Latest posts by pfccdirector.bsky.social on Bluesky

Post image Post image Post image Post image

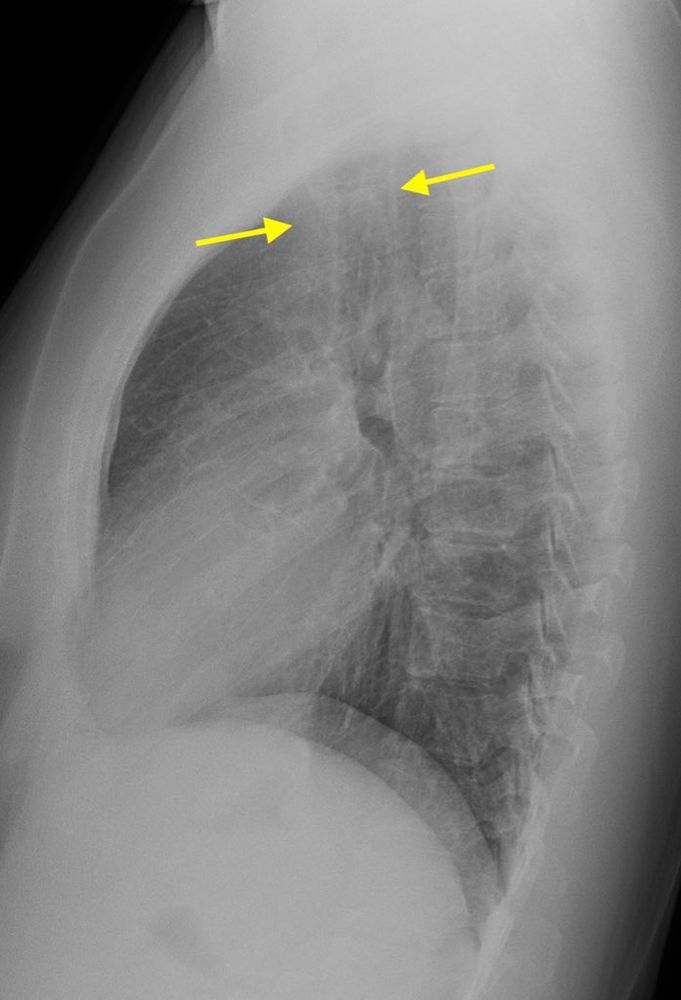
#LCAM Day 16 🫁🀍

🚺 mid 40s w fatigue, no smoking hx 🧐

PA/lateral CXR: RUL opacity.
Chest CT: solid R apical nodule w architectural distortion.

Bx: #EGFR+ adenoCA ➑️ curative surgery 🫁

Always doubleβœ… apices & have a high index of suspicion even in younger patients #AnyoneWithLungsCanGetLungCancer

16.11.2024 14:38 β€” πŸ‘ 8    πŸ” 2    πŸ’¬ 0    πŸ“Œ 0
Post image Post image Post image Post image

Highlight of #NYLung24 thus far: meeting the brilliant/beautiful Dr. Isabel Preeshagul IRL 🀩

Dr. Preeshagul led a fantastic session w internationally renowned thoracic/head & neck oncologist Dr. Charu Aggarwal on Updates in Treatment Approaches for Advanced #EGFR mutant #NSCLC 🫁🀍 #LCAM #LCSM

16.11.2024 18:20 β€” πŸ‘ 15    πŸ” 1    πŸ’¬ 0    πŸ“Œ 0

Great tool to assess all types of media for #lungcancer stigma, take a look and read the criteria -- it's surprising how many awareness communications, marketing campaigns and patient education materials get it wrong #lcsm #lcam

18.11.2024 00:49 β€” πŸ‘ 8    πŸ” 3    πŸ’¬ 0    πŸ“Œ 0

#LCAM Day 21

#LungCancer is the #1 cause of cancer-related death, but consistently underfunded πŸ˜”

ResearchπŸ’°is more important than ever as 🫁 cancer disparities persist & rates continue to ⬆️ in ppl with no 🚬 hx, especially young ppl & 🚺 #lcsm @radhealthequity.bsky.social @radhealtheqty.bsky.social

21.11.2024 13:29 β€” πŸ‘ 22    πŸ” 6    πŸ’¬ 0    πŸ“Œ 1
Post image

#LungCancerAwarenessMonth

🫁 Find a screening location: tinyurl.com/ACR-locator
🫁 Unsure of what happens during a #LungScreening exam? Read below to find out!
🫁 Curious about #TestResults? Read in 🧡below!

#EarlyDetectionSavesLives #LungCheck #BreatheEasy #LCSM

11.11.2024 21:04 β€” πŸ‘ 10    πŸ” 8    πŸ’¬ 2    πŸ“Œ 0

#RadSky #RSNA2024 we have a team and I will be serving as team captain again so watch this space - 7 days to go! Starts on Nov 28 πŸ¦ƒπŸŽ. Let’s feed some people together.

21.11.2024 10:12 β€” πŸ‘ 11    πŸ” 4    πŸ’¬ 0    πŸ“Œ 0

#lcsm #pfcc

19.11.2024 23:04 β€” πŸ‘ 5    πŸ” 1    πŸ’¬ 0    πŸ“Œ 0

Thanks for sharing this wonderful resource! πŸ™Œ #PFCC #PatientEngagement

20.11.2024 14:53 β€” πŸ‘ 2    πŸ” 0    πŸ’¬ 0    πŸ“Œ 0
Preview
The Pulse of PFCC November 19, 2024 November is Lung Cancer Awareness Month - Below are some impactful and interesting #LCAM & Patient- and Family-Centered Care-related programs and items. Thank you for reading and sha...

Great resources for patients #lcsm #pfcc #oncsky www.linkedin.com/pulse/pulse-...

20.11.2024 00:53 β€” πŸ‘ 4    πŸ” 2    πŸ’¬ 1    πŸ“Œ 0
Post image

The ACS National Lung Cancer Roundtable works for #EarlyDetection, optimal therapy and #LungCancer prevention for #patients - And is a founding partner of #LungCancerScreeningDay

🫁 nlcrt.org

#LungCancerAwarenessMonth #LCAM #LungHealth #PatientCare #NLCRT #RadSky #Radiology #Imaging

20.11.2024 14:50 β€” πŸ‘ 2    πŸ” 1    πŸ’¬ 0    πŸ“Œ 0
Preview
Lung Cancer Risk Quiz Find out if you might be at risk for lung cancer and qualify for a lung cancer scan by taking our screening eligibility quiz.

The American Lung Association has a fantastic #LungCancer Risk Quiz for #LungCancerScreening eligibility - Please share!

🫁 bit.ly/3Czevqt

#LungCancerAwarenessMonth #LungHealth #LCAM #PatientEngagement #PatientHealth #EarlyDetection #SavedByTheScan #RadSky #PFCC

19.11.2024 15:42 β€” πŸ‘ 6    πŸ” 2    πŸ’¬ 0    πŸ“Œ 0
Post image Post image Post image

Congrats to the #CommunitiesCrushingCancer 2024 challenge winners!

Best Selfie - Upstate Medical University
Most Interactive - Upstate Medical University
Most Creative - Weill Cornell Medicine

See you for #CCC2025!

#CCC2024 #CancerAwareness #RadRes #HealthEquity #CommunityEngagement

19.11.2024 15:05 β€” πŸ‘ 7    πŸ” 1    πŸ’¬ 0    πŸ“Œ 0
Preview
Radiologists are more accurate, confident when they know the full story Providing radiologists with key details about the patient's symptoms can go a long way toward improving the quality of their work.

Providing radiologists with key details about the patient's symptoms can go a long way toward improving the quality of their work.
radiologybusiness.com/topics/medic...

19.11.2024 03:33 β€” πŸ‘ 27    πŸ” 16    πŸ’¬ 1    πŸ“Œ 2
Patient-Friendly Animations:  Program Overview
YouTube video by JACR Patient-Friendly Animations: Program Overview

www.youtube.com/watch?v=kx_P...

19.11.2024 11:20 β€” πŸ‘ 8    πŸ” 2    πŸ’¬ 1    πŸ“Œ 0
Post image

Our #LCS #PFCC Team curates and manages a wonderful page with a multitude of #LungCancerScreening Resources:

🫁bit.ly/3AMJkYe

#RadSky #LungCancerAwarenessMonth #LCAM #PatientCare #PatientEngagement #LungHealth #LungCancer

@findlungcancer.bsky.social @laurengroner.bsky.social

18.11.2024 19:40 β€” πŸ‘ 4    πŸ” 2    πŸ’¬ 0    πŸ“Œ 0
Preview
Communities Crushing Cancer 2024 - Participating Programs Enjoy the videos and music you love, upload original content, and share it all with friends, family, and the world on YouTube.

On October 30th, 2024 - 40+ sites of #RadRes volunteers participated in the #CommunitiesCrushingCancer event - Take a look at this pictorial montage from some of the program sites!

πŸ“½οΈ bit.ly/48G7Pmn

#CCC2024 #CommunityEngagement #CancerAwareness #HealthEquity #LungCancerAwarenessMonth #RadSky

15.11.2024 19:45 β€” πŸ‘ 3    πŸ” 1    πŸ’¬ 0    πŸ“Œ 0
Post image

Here are some ways to discuss #LungCancerScreening with your #Patients:

🫁https://bit.ly/4dPXKEm

#LungCancerAwarenessMonth #LCAM #PatientCare #PatientEngagement #LungHealth #LungCancer #HealthcareProfessional #RadSky

15.11.2024 19:31 β€” πŸ‘ 5    πŸ” 1    πŸ’¬ 0    πŸ“Œ 0
Post image

If you’re new here and you’re part of our global #radiology community please check out my Starter Pack of people who you should be hearing from.

go.bsky.app/CbYUWmV

13.11.2024 13:21 β€” πŸ‘ 24    πŸ” 9    πŸ’¬ 5    πŸ“Œ 1
Post image

#LCAM Day 14 🫁 #Screening facts #lcsm

#Baseline #LDCT w undiagnosed mod LAD calc ➑️ statin Rx

β˜‘οΈ~70% of ppl screened will have coronary calcium
β˜‘οΈA majority won’t be on a statin, despite being eligible
β˜‘οΈIdentifying coronary calcium on #LDCT is a/w ➑️ statin Rx
β˜‘οΈπŸ«€dz a/w ⬆️ 🫁ca incidence/mortality

14.11.2024 15:03 β€” πŸ‘ 11    πŸ” 3    πŸ’¬ 0    πŸ“Œ 0

@pfccdirector is following 19 prominent accounts