's Avatar

@pateinakis.bsky.social

15 Followers  |  8 Following  |  3 Posts  |  Joined: 14.05.2025  |  1.6971

Latest posts by pateinakis.bsky.social on Bluesky

Post image Post image Post image

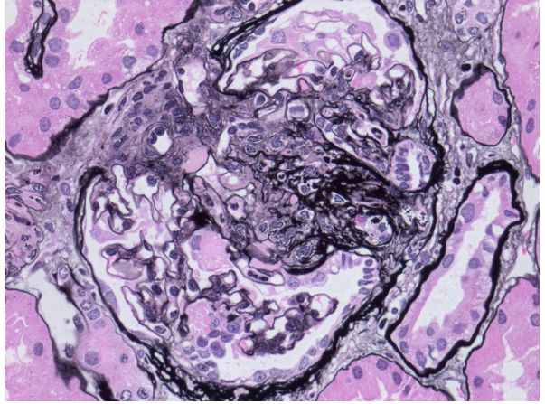
Bx for nephrotic syndrome in an IV drug user with multiple infections. LM was all medulla, but good enough to make a diagnosis. AA amyloidosis; very common bx result in this clinical setting. #renalpath #pathsky #nephsky

07.10.2025 17:32 β€” πŸ‘ 8    πŸ” 2    πŸ’¬ 0    πŸ“Œ 0
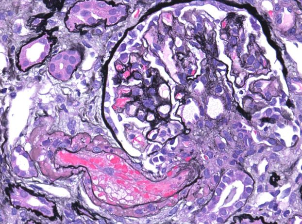
Post image Post image Post image Post image

A startling biopsy. Severe acute TMA in a pt with suspected scleroderma renal crisis. Massive vascular thrombosis, mucoid intimal edema, and early onion skin change associated with severe cortical necrosis. #renalpath #nephsky #pathsky

09.10.2025 03:08 β€” πŸ‘ 18    πŸ” 8    πŸ’¬ 1    πŸ“Œ 0
Post image Post image Post image Post image

Interesting case of AL-amyloidosis. Massive vascular deposits, even in hilar arterioles with glomerular sparring. Patient had minimal proteinuria given lack of glomerular amyloid. #renalpath #pathsky #nephsky

04.09.2025 23:14 β€” πŸ‘ 12    πŸ” 4    πŸ’¬ 2    πŸ“Œ 0
Post image Post image Post image

Kidney txp biopsy with histologic features of acute pyelonephritis. Neutrophilic tubulitis, neutrophilic casts, and tubules which seem to explode out. Cellular rejection typically is not neutrophilic and inflammation hits the tubules from the outside in. #renalpath #nephsky #pathsky

11.08.2025 17:28 β€” πŸ‘ 8    πŸ” 5    πŸ’¬ 0    πŸ“Œ 0
Preview
AJKD Atlas of Renal Pathology: Fibronectin Glomerulopathy - PubMed AJKD Atlas of Renal Pathology: Fibronectin Glomerulopathy

πŸ”ΈMostly adults
πŸ”ΈProteinuria/hematuria
πŸ”ΈESRD 10-20 yrs
πŸ”ΈNo specific treatment
References:
pubmed.ncbi.nlm.nih.gov/29055354/

(2/2)

06.08.2025 03:18 β€” πŸ‘ 1    πŸ” 2    πŸ’¬ 1    πŸ“Œ 0
H&E showing glomerulus with MPGN-like pattern

H&E showing glomerulus with MPGN-like pattern

Immunofluorescence strongly staining for fibronectin

Immunofluorescence strongly staining for fibronectin

Electron microscopy - homogeneous granular electron dense deposits

Electron microscopy - homogeneous granular electron dense deposits

Fibronectin glomerulopathy
πŸ”ΈMassive fibronectin deposits
πŸ”ΈAD mutation FN1
πŸ”ΈMPGN-like pattern
πŸ”ΈSilver-neg, PAS+, trichrome-red
πŸ”ΈEM: Homogeneous granular + variable fibrils
πŸ”ΈIF/IHC strongly + fibronectin
πŸ”Έrenal-limited

(1/2) more below
#renalpath #pathsky #nephsky

06.08.2025 03:18 β€” πŸ‘ 6    πŸ” 4    πŸ’¬ 1    πŸ“Œ 0
Post image

#RenalPath: Lecithin–cholesterol acyltransferase deficiency with mild mesangial expansion with slight foamy appearance. Capillary walls show segmental thickening (hematoxylin and eosin stain).

bit.ly/2tQDkJx (FREE)

13.04.2025 10:01 β€” πŸ‘ 8    πŸ” 4    πŸ’¬ 0    πŸ“Œ 0
Post image Post image

Excuse the β€œtaking a picture of a computer screen” quality here - this looks like early MN pattern (IgG, IgG1 here) by IF, but EM has absolutely no deposits (EM on frozen material done on this glom). Still MN (β€œby IF only”?!)? @glombandit.bsky.social @arkanalabs.bsky.social @jzrenalpath.bsky.social

09.08.2025 17:03 β€” πŸ‘ 5    πŸ” 3    πŸ’¬ 4    πŸ“Œ 0
Post image 16.07.2025 20:15 β€” πŸ‘ 0    πŸ” 0    πŸ’¬ 0    πŸ“Œ 0
Video thumbnail

AVF dysfunction due to partial thrombosis at the anastomosis. Previous gradual anastomotic thrombosis led to peripheral blood flow and arteriopoesis with aneurysmatous dilation of cannulation site, which is now collapsing at blood flow rates higher then 200ml/min.

16.07.2025 20:10 β€” πŸ‘ 1    πŸ” 0    πŸ’¬ 1    πŸ“Œ 0
Post image Post image

Pt has DM, heavy proteinuria & CKD. Bx shows fx of nodular diabetic GS. BUT EM also shows large substructures. IF with strong fibrinogen in similar glomerular distribution as substructures. Other than linear weak IgG & albumin, Ig's & LC's (-). What could they be?
#renalpath #pathsky #nephsky

05.04.2025 03:44 β€” πŸ‘ 4    πŸ” 6    πŸ’¬ 3    πŸ“Œ 0

Diabetic fibrillosis?

16.07.2025 19:52 β€” πŸ‘ 1    πŸ” 0    πŸ’¬ 1    πŸ“Œ 0
Post image

#RenalPath: Postinfectious glomerulonephritis with irregular, coarse granular capillary loop and mesangial staining for immunoglobulin G (immunofluorescence microscopy).

bit.ly/2KwRGU4 (FREE)

06.04.2025 10:00 β€” πŸ‘ 4    πŸ” 4    πŸ’¬ 0    πŸ“Œ 0
Post image Post image Post image Post image

Abundant amyloid. Nephrotic syndrome and AKI in a patient with history of IV drug abuse, multiple infections, and HCV. Type AA (Amyloid A IHC picture). #renalpath #pathsky #nephsky

13.03.2025 12:53 β€” πŸ‘ 16    πŸ” 8    πŸ’¬ 0    πŸ“Œ 0
Post image Post image Post image Post image

Angry ANCA vasculitis. Pacui immune crescentic GN with exploding glomerulus. Multiple foci of necrotizing arteritis. Fibrinogen staining in necrosis in a crescent and arterial wall. #renalpath #pathsky #nephsky

12.03.2025 22:21 β€” πŸ‘ 14    πŸ” 5    πŸ’¬ 0    πŸ“Œ 0
Post image

My patients live at the margins of society. They don’t have much. Just getting to dialysis three times a week is a big ask. Taking from them to fund tax breaks for the rich is just cruel.

I want to be outraged but I just feel like crying.

02.07.2025 00:20 β€” πŸ‘ 64    πŸ” 24    πŸ’¬ 2    πŸ“Œ 0
Strong linear IgG involving proximal tubular basement membranes

Strong linear IgG involving proximal tubular basement membranes

Acute tubular injury

Acute tubular injury

Chronic tubulointerstitial nephritis (trichrome stain)

Chronic tubulointerstitial nephritis (trichrome stain)

Electron microscopy shows atrophic tubular basement membranes. No deposits are seen.

Electron microscopy shows atrophic tubular basement membranes. No deposits are seen.

Anti-tubular basement membrane (TBM) disease
πŸ”ΈRare type of tubulointerstitial nephritis
πŸ”ΈStrong linear polyclonal IgG restricted to TBMs
πŸ”ΈNo deposits by EM
πŸ”ΈAutoantibody to TIN-ag in proximal TBM
πŸ”ΈAKI/CKD, polyuria, polydipsia

Reference: ajkd.org/article/s027...

#renalpath #pathsky #nephsky

03.07.2025 04:00 β€” πŸ‘ 6    πŸ” 3    πŸ’¬ 1    πŸ“Œ 0
Post image

In late March, the FDA approved iptacopan to reduce proteinuria in patients with C3 glomerulopathy. With additional approvals anticipated to treat this rare condition, education on identifying and treating C3G is critical. kidney.pub/KN1706-02

#ASNKidneyNews

03.07.2025 15:00 β€” πŸ‘ 4    πŸ” 3    πŸ’¬ 0    πŸ“Œ 0
Post image Post image Post image Post image

Example of necrotizing lupus vasculopathy. Hilar arterioles with luminal immune complex deposit and mural necrosis. Ig deposition in lumen of vessel and fibrinogen staining by IF. #renalpath #pathsky #nephsky

24.01.2025 01:26 β€” πŸ‘ 13    πŸ” 7    πŸ’¬ 0    πŸ“Œ 0
Preview
Immunofluorescence Use and Techniques in Glomerular Diseases: A Review Abstract. Background: Immunofluorescence (IF) studies play an essential role in the evaluation of medical renal biopsies. Particularly, in the study of renal glomerular diseases, where it provides fun...

So very happy with this publication! I hope it will assist trainees in #nephrology and #renalpath in the uses of IF.

karger.com/gdz/article/...

13.12.2024 14:04 β€” πŸ‘ 12    πŸ” 7    πŸ’¬ 0    πŸ“Œ 0
Post image

#RenalPath: CNI nephrotoxicity with TMA involving an arteriole (Jones silver stain).

bit.ly/2qeBWhV (FREE)

22.06.2025 10:01 β€” πŸ‘ 8    πŸ” 4    πŸ’¬ 0    πŸ“Œ 0
Post image

#RenalPath: Nail-patella–like renal disease (also known as LMX1B-associated nephropathy) with segmental glomerulosclerosis in a 39-year-old man with dystrophic nails, but no patellar or other skeletal abnormalities (Jones silver stain).

https://bit.ly/42h16yf (FREE)

02.02.2025 11:00 β€” πŸ‘ 9    πŸ” 3    πŸ’¬ 0    πŸ“Œ 0
Post image

Muddy brown granular cast and fragmented renal tubular epithelial cell cast under interference contrast illumination. Case of ATN, AKI. #UrinarySediment #UrineMicroscopy #PisseProphet #renalpath

16.01.2021 21:35 β€” πŸ‘ 3    πŸ” 2    πŸ’¬ 0    πŸ“Œ 0
Post image

Pediatric anti-phospholipid syndrome (APS) is a rare autoimmune inflammatory disorder resulting in recurrent vascular thrombosis w/serious clinical implications. Read these Clinical Insights into pediatric APS nephropathy.
link.springer.com/article/10.1...

03.07.2025 17:09 β€” πŸ‘ 4    πŸ” 4    πŸ’¬ 0    πŸ“Œ 0
Post image

Genetic testing is crucial in nephrology, as up to 10% of kidney disease patients receive a genetic diagnosis. This review aims to explain the genetic counseling process and relevance to patients, enabling comprehensive care for their genetic and clinical needs. kidney.pub/KID0825
#ASNKidney360

21.06.2025 17:29 β€” πŸ‘ 9    πŸ” 5    πŸ’¬ 1    πŸ“Œ 0
Post image Post image Post image Post image

A membranous pattern is occasionally present in Fibrillary GN
Notice randomly arranged fibrils in the subepithelial regions. DNAJB9-positivity is seen in a similar distribution by IHC. Can be mistaken for membranous nephropathy: doi.org/10.1016/j.ekir….
#renalpath #pathsky #nephsky

24.06.2025 23:43 β€” πŸ‘ 6    πŸ” 4    πŸ’¬ 0    πŸ“Œ 0
Post image Post image Post image Post image

Case of IgAN in the setting cirrhosis with prominent red blood cell casts with fairly focal crescents. Pt was biopsied for gross hematuria. #renalpath #pathsky #nephsky

23.06.2025 15:24 β€” πŸ‘ 6    πŸ” 5    πŸ’¬ 0    πŸ“Œ 0
Post image Post image Post image Post image

Nice example of cryoGN in a Sjogren pt. Somewhat early kidney presentation with some active crescents without well-developed MPGN features. IgM-k dominant, less IgG/L (type II cryo). Cryo plugs in vessels. Great micro-tubles by EM. #renalpath #nephksy #pathsky

20.06.2025 16:32 β€” πŸ‘ 9    πŸ” 7    πŸ’¬ 0    πŸ“Œ 0
Best 30 Nephrology Podcasts Best Nephrology Podcasts to Listen to β‹… 1. Freely Filtered, a NephJC Podcast β‹… 2. Kent's Kidney Stories β‹… 3. Channel Your Enthusiasm β‹… 4. Clinical Journal of the American Society of Nephrology (CJASN)

Oh look, a list of the 30 best nephrology podcasts.

www.millionpodcasts.com/nephrology-p...

21.06.2025 14:54 β€” πŸ‘ 20    πŸ” 9    πŸ’¬ 2    πŸ“Œ 1
Post image Post image Post image Post image

Older female pt with slowly progressive CKD, long h/o HTN. 0.5 g proteinuria. Biopsy with revealed a surprise with many podocytes demonstrating myelin figures. Main ddx includes Fabry versus drug effect (excluded in this case). pubmed.ncbi.nlm.nih.gov/35100945/. #renalpath #pathsky #nephsky

17.06.2025 12:29 β€” πŸ‘ 14    πŸ” 6    πŸ’¬ 2    πŸ“Œ 0

@pateinakis is following 8 prominent accounts