daniela wisser's Avatar

daniela wisser

@pathodani.bsky.social

surgical pathologist vienna #pathsky

134 Followers  |  371 Following  |  65 Posts  |  Joined: 18.10.2023  |  1.6733

Latest posts by pathodani.bsky.social on Bluesky

Kill homeless people? That’s sonething you can openly propose on FOX NEWS now?
Well, if you‘re from Germany, it does ring a bell. It‘s what the Nazis did to homeless and mentally ill people. They murdered them.
Good luck America.

13.09.2025 23:00 — 👍 106    🔁 47    💬 5    📌 3
Post image Post image

We're at the 37th European Congress of Pathology in Vienna! Stop by to see us at Booth 100 Hall X5.

#Pathology #PathologyOutlines #ECP2025 #ESPCongress #PathSky

08.09.2025 17:06 — 👍 4    🔁 1    💬 0    📌 0
Preview
"Geflüchtete sind Sündenböcke der Politik" - zackzack.at Sätze wie »2015 darf sich nicht wiederholen«, hört und liest man in diesen Tagen oft. Doch kaum jemand meint damit das, was damals tatsächlich geschehen ist: Flüchtlinge aus den Ländern, in denen Puti...

"Die meisten Geflüchteten der letzten 20 Jahre kamen aus der Ukraine, Tschetschenien und Syrien. Diese Regionen verbindet, dass Putin dort Krieg geführt hat. Dennoch hat man Putin hofiert ..."

sagt @lukasgg.bsky.social im Interview auf @redaktionzack.bsky.social

zackzack.at/2025/08/30/g...

30.08.2025 08:46 — 👍 90    🔁 34    💬 2    📌 1
Preview
What happens in NEUDA stays in NEUDA - fm4.ORF.at Vielschreiber und Wortlaut-Juror Daniel Wisser hat einen neuen Roman: In “Smart City” entwirft er die Stadt der Zukunft. Dass in der saubersten, modernsten Stadt der Welt nicht alles mit rechten Dinge...

"Wissers Stil ist klar und präzise, fast so geradlinig wie die rechtwinklig angeordneten Straßen in NEUDA. Der Roman ist im Präsens erzählt und beschreibt, was wir auf den Überwachungskameras der Stadt beobachten könnten."

Jenny Blochberger
@fm4.orf.at über SMART CITY

fm4.orf.at/stories/3049...

27.08.2025 05:25 — 👍 14    🔁 1    💬 0    📌 0
Preview
"Smart City": Neuer Roman von Daniel Wisser - ZIB 13:00 vom 26.08.2025 Daniel Wisser zählt zu den gefragtesten Schriftstellern des Landes. Sein neuer Roman „Smart City“ spielt in einer komplett durchdigitalisierten Planstadt. Was wie ein perfektes Leben wirkt, entpuppt s...

Die @orfnewsbot.bsky.social ZiB über meinen Roman SMART CITY

on.orf.at/video/142890...

#Roman #Literatur #SmartCity #Demokratie

26.08.2025 15:56 — 👍 9    🔁 3    💬 0    📌 0
Preview
Integrationsprobleme und fehlende Leitkultur bei der Kärntner Polizei - zackzack.at Ein gesetzes- und verfassungswidriger Einsatz der Kärntner Polizei zeigte am Sonntag, dass nicht alle die Integration in die Zweite Republik geschafft haben. Denn Antifaschismus ist ein Grundpfeiler d...

Integrationsprobleme und fehlende Leitkultur bei der Kärntner Polizei

@redaktionzack.bsky.social

zackzack.at/2025/07/31/i...

#Peršmanhof #Antifaschismus #Kärnten #ZiB2 #Koroška #Staatsvertrag #Verfassung #Leitkultur #Integration #Polizei #Antifa

31.07.2025 08:10 — 👍 41    🔁 13    💬 1    📌 0

Der antifaschistische Grundkonsens der Republik ist im Verfassungsgesetz vom 1. Mai 1945 über die Wiederherstellung des Rechtslebens in Österreich und im Staatsvertrag vom 15. Mai 1955 verankert. Antifaschismus ist also nicht von der Republik zu verfolgen, sondern von ihr zu betreiben.

29.07.2025 15:36 — 👍 266    🔁 75    💬 6    📌 3
ThC: thyroid cartilage, FC: false cord, TC: true cord, ELE: extralaryngeal extension

ThC: thyroid cartilage, FC: false cord, TC: true cord, ELE: extralaryngeal extension

Post image

Parasagittal section through total laryngectomy specimen resected for advanced stage squamous cell carcinoma. Curious finding in the blue box

#PathSky #Pathology #ENTPath #HeadNeckPath #EmoryPathology

26.07.2025 16:18 — 👍 4    🔁 1    💬 2    📌 0

#pathsky

24.07.2025 07:18 — 👍 3    🔁 1    💬 0    📌 0
Post image Post image Post image Beta-catenin

Beta-catenin

#PathSky Abdominal wall mass, middle aged woman. Women basically only get 3 abdominal wall tumors, so it’s got to be a desmoid, DFSP or endometriosis. Classic desmoid morphology, aberrant nuclear beta-catenin. I can hear the cries of “boring..”

30.05.2025 17:31 — 👍 10    🔁 3    💬 1    📌 0

Die nächste Schlagzeile muss logischerweise lauten:

Kronen Zeitung erhält jährlich mehr als 30 Millionen Euro an Fördergeldern und öffentlichen Mitteln.

25.05.2025 12:34 — 👍 9    🔁 2    💬 0    📌 0
Preview
80 Jahre Kriegsende - Daniel Wisser | DI | 06 05 2025 | 6:57 Katharina Stemberger, Schauspielerin, liest aus einer Rede, die Daniel Wisser für das "Fest der Freude" 2019 verfasst hat

80 Jahre Kriegsende

oe1.orf.at/programm/202...

03.05.2025 05:42 — 👍 6    🔁 2    💬 0    📌 0
Post image Post image Post image

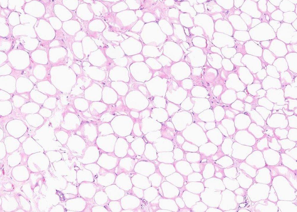
#PathSky 55F, large retroperitoneal mass. Outside pathologist quite reasonably thought of WDL, but MDM2 FISH was negative. Any other ideas?

23.04.2025 19:43 — 👍 12    🔁 5    💬 1    📌 0
Post image

Bladder washing.
🧐🧐🧐
What is your interpretation of these spindle cells amid an inflamed stroma?
A) High grade urothelial carcinoma (HGUC)
B) Low-grade urothelial neoplasm (LGUN)
C) Negative for HGUC
D) Non-urothelial malignancy
#CytoPath #GUPath #Pathology #PathSky

21.04.2025 11:33 — 👍 3    🔁 2    💬 1    📌 0
Post image

Esophageal mass in 65-year-old man
Is it #TooCloseToDiagnose?? 🧐🧐
A) Basaloid Squamous Cell Carcinoma
B) Adenoid Cystic Carcinoma
C) Basal Cell Carcinoma
#GIPath #PathTwitter #BSTPath #Pathology

17.04.2025 14:00 — 👍 4    🔁 2    💬 2    📌 0
Post image Post image Post image Post image

Das Erste Wiener Heimorgelorchester heute mit "neuem" Setup mit alten elektrischen Harmonien aus den 50ern-70ern im Theater an der Gumpendorferstraße.

27.03.2025 14:38 — 👍 8    🔁 3    💬 2    📌 0
Preview
Die alternde Frau — JASMIN SCHREIBER Uns Frauen haftet immer und überall das Körperliche an. Egal, was wir machen, alle Gedanken, die wir formen und die sich in Wissenschaft ergießen oder in Kunst oder Literatur, stammen aus einem Kopf, an dem nun einmal ein irgendwie gearteter Körper hängt. (…)

"Dass sich Autoren (...) gegenseitig immer wieder versichern,dass es realistisch ist, dass Frauen in meinem Alter erst so richtig auf Männer stehen, wenn sie ihre Haare verlieren, anfangen, etwas strenger zu riechen und mit dem Smartphone nur noch so mittelgut zurechtkommen."
www.jasmin-schreiber...

15.03.2025 19:30 — 👍 418    🔁 107    💬 24    📌 19
Post image

#pathsky
Excellent talk on pancreatic neuroendocrine neoplasms at the Spring Meeting of the Austrian Society for Pathology y Konstantin Bräutigam @pathologop.bsky.social #oegpath

15.03.2025 09:59 — 👍 10    🔁 2    💬 1    📌 0
Preview
Kickls große Abrechnung mit der neuen Regierung Die Platzkarte samt Getränk und Essen kostet 18 Euro, seit Wochen ist die Veranstaltung ausverkauft: Um 19.30 Uhr geht FPÖ-Obmann Herbert Kickl heute ...

Kickls große Abrechnung mit der neuen Regierung
Ob wir es noch erleben, dass dieses Bierzeltgegröle als Bierzeltgegröle behandelt wird?
Dieser Politrowdy hat gerade seine Regierungsunfähigkeit bewiesen, seine unsachlichen Schimpftiraden können also ignoriert werden.
www.krone.at/3714501

05.03.2025 18:02 — 👍 138    🔁 24    💬 12    📌 0
Preview
AllesWirdGut AllesWirdGut is a collaborative and interdisciplinary architectural practice that operates at the intersection of urbanism, architecture and built spaces of all scales. With clear concepts, we seek to...

www.awg.at

05.03.2025 11:10 — 👍 1    🔁 0    💬 1    📌 0
Post image

Mit vielen großartigen Autorinnen und Autoren des Luchterhand-Verlags u.a. @michaelstavaric.bsky.social durfte ich an einem Buch zum 100. Geburtstag von Luchterhand-Autor Ernst Jandl mitwirken.

15.02.2025 14:42 — 👍 20    🔁 4    💬 0    📌 0
multistorey treehouse called "austrias house of parliament"

multistorey treehouse called "austrias house of parliament"

here we go again...
presenting austrias house of parliament

23.01.2025 15:34 — 👍 2    🔁 0    💬 0    📌 0

Liebe Österreicherinnen und Österreicher und alle die hier leiden.

05.01.2025 13:46 — 👍 564    🔁 52    💬 6    📌 1

mir geht dieser sonnenschein richtig am nerv.
ich will endlich grauen himmel und nebel!

29.12.2024 17:48 — 👍 0    🔁 0    💬 0    📌 0

zum bleistift

27.12.2024 18:24 — 👍 1    🔁 0    💬 0    📌 0

mit voller begeisterung

15.12.2024 09:27 — 👍 0    🔁 0    💬 0    📌 0

Wenn Männer,die für ihre sexualisierte Gewalt bekannt sind,weiter gewählt, befördert, unterstützt, protegiert werden ist das nicht nur ein Schlag ins Gesicht der konkret Betroffenen, sondern eine Zur-Schau-Stellung aggressiver männlicher Überlegenheit, die mundtot machen soll und macht. #Frauenhass

14.12.2024 14:57 — 👍 528    🔁 131    💬 11    📌 2

mehr meer für badespaß

04.12.2024 11:16 — 👍 2    🔁 0    💬 0    📌 0

haha, genau das!

01.12.2024 18:17 — 👍 0    🔁 0    💬 0    📌 0

Caramella Kodehuth

01.12.2024 18:05 — 👍 2    🔁 0    💬 0    📌 0

@pathodani is following 20 prominent accounts