Lucas Waltzer 's Avatar

Lucas Waltzer

@lucaswaltzer.bsky.social

Group leader at iGReD Clermont-Ferrand, drosophila & epigenetics, food & mushrooms https://www.igred.fr/en/team/ero-epigenetic-regulations-ontogenesis/

1,795 Followers  |  708 Following  |  143 Posts  |  Joined: 16.09.2023  |  2.2211

Latest posts by lucaswaltzer.bsky.social on Bluesky

Post image

Very sad to hear that Sir John Gurdon, former Master of Magdalene College, has passed away at the age of 92. www.cam.ac.uk/research/new...

Here is a powerful reminder that you should never give up on your dreams.

07.10.2025 15:34 โ€” ๐Ÿ‘ 10    ๐Ÿ” 6    ๐Ÿ’ฌ 0    ๐Ÿ“Œ 0

Congratulations, exciting reads!

07.10.2025 16:51 โ€” ๐Ÿ‘ 0    ๐Ÿ” 0    ๐Ÿ’ฌ 1    ๐Ÿ“Œ 0
Preview
Cell-type-specific nucleotide sharing through gap junctions impacts sensitivity to replication stress in Drosophila Boumard et al. demonstrate gap-junction-dependent tissue-scale nucleotide sharing, which impacts cellular sensitivity to perturbation of nucleotide homeostasis and replication stress. Drosophila wing ...

The PhD work of @bboumard.bsky.social officially out in print! Happy to share this issue with our downstairs colleagues in the BDD @frelab.bsky.social @robinjournot.bsky.social

www.cell.com/developmenta...

07.10.2025 06:43 โ€” ๐Ÿ‘ 43    ๐Ÿ” 15    ๐Ÿ’ฌ 6    ๐Ÿ“Œ 0
Professor Sir John Gurdon FRS (1933-2025) | Magdalene College Magdalene College is deeply saddened to announce the death of Professor Sir John Gurdon FRS, who served as Master of the College from 1995 to 2002.

Very sad news, John Gurdon has died.

A developmental biologist's developmental biologist, Nobel prize winner

His work is the foundation of much of today's dev & stem cell bio.

An inspiration to many, including me. Always asking questions & wanting the answers

www.magd.cam.ac.uk/news/profess...

07.10.2025 16:02 โ€” ๐Ÿ‘ 172    ๐Ÿ” 96    ๐Ÿ’ฌ 7    ๐Ÿ“Œ 7
Preview
Le Nobel de mรฉdecine 2025 rรฉcompense la dรฉcouverte du processus de contrรดle des maladies auto-immunes Un Japonais, Shimon Sakaguchi, et deux Amรฉricains, Mary Brunkow et Fred Ramsdell, ont rรฉvรฉlรฉ lโ€™existence dโ€™une catรฉgorie de lymphocytes T qui permettent ร  notre systรจme immunitaire de combattre les infections tout en prรฉservant nos tissus. Une dรฉcouverte prometteuse pour traiter certaines maladies chroniques.

Le Nobel de mรฉdecine 2025 rรฉcompense la dรฉcouverte du processus de contrรดle des maladies auto-immunes

06.10.2025 17:55 โ€” ๐Ÿ‘ 28    ๐Ÿ” 8    ๐Ÿ’ฌ 1    ๐Ÿ“Œ 3

I must disagree: the Clermont-Ferrand/ Paris is and will remain the worst French train line, with delay regularly above 3 hours!! May be Marseille Bordeaux has a higher rate of delay, but we have long ones!! A free night in the train is always an option here!

06.10.2025 18:39 โ€” ๐Ÿ‘ 2    ๐Ÿ” 0    ๐Ÿ’ฌ 1    ๐Ÿ“Œ 0
Video thumbnail

Dr. Jane Goodall filmed an interview with Netflix in March 2025 that she understood would only be released after her death.

05.10.2025 09:08 โ€” ๐Ÿ‘ 36981    ๐Ÿ” 16685    ๐Ÿ’ฌ 800    ๐Ÿ“Œ 2357
Preview
Scientists targeted by dark PR tactics: Several academic scientists critical of de-extinction projects have become the targets of anonymous smear articles and weaponized copyright infringement claims:... EMBO Press is an editorially independent publishing platform for the development of EMBO scientific publications.

,While these articles and blog posts have appeared in different media ...() they all share commonalities, such as similar introductions, trying to discredit the targeted scientistsโ€™ expertise, or question their neutrality or integrity, and seem to be generated by chatbots.'

05.10.2025 08:37 โ€” ๐Ÿ‘ 28    ๐Ÿ” 16    ๐Ÿ’ฌ 0    ๐Ÿ“Œ 3
Figure from the preprint showing sensory neuron morphology with different levels of Cas9 expression.

Figure from the preprint showing sensory neuron morphology with different levels of Cas9 expression.

High levels of Cas9 are toxic in sensory neurons. Reducing Cas9 levels with uORFs avoids toxicity and is compatible with efficient editing. From @thompsonpeerlab.bsky.social. Fly lines @vdrc-flies.bsky.social

#CRISPR #Drosophila

www.biorxiv.org/content/10.1...

04.10.2025 21:10 โ€” ๐Ÿ‘ 20    ๐Ÿ” 11    ๐Ÿ’ฌ 0    ๐Ÿ“Œ 0
Preview
Insects arenโ€™t โ€˜little robotsโ€™โ€”so scientists are rethinking their welfare Science chats with an entomologist and an expert in animal ethics who are monitoring how researchers report on the ethical treatment of insects

www.science.org/content/arti...

05.10.2025 11:45 โ€” ๐Ÿ‘ 0    ๐Ÿ” 0    ๐Ÿ’ฌ 0    ๐Ÿ“Œ 0

= telomeres elongate in hybrid embryos only when maternal telomeres are short and paternal telomeres are long. In the reciprocal cross, telomeres shorten !!!

04.10.2025 17:12 โ€” ๐Ÿ‘ 5    ๐Ÿ” 0    ๐Ÿ’ฌ 2    ๐Ÿ“Œ 0
Preview
For the love of frontier research, or why Elonโ€™s rockets keep blowing up | EMBO reports EMBO Press is an editorially independent publishing platform for the development of EMBO scientific publications.

'Innovation does not occur in a vacuum. It requires raw materials: the findings of basic research. We are currently burning through a stockpile of knowledge accumulated during a more enlightened era of public investment, while allocating insufficient resources for replenishing it.'

03.10.2025 08:42 โ€” ๐Ÿ‘ 9    ๐Ÿ” 6    ๐Ÿ’ฌ 0    ๐Ÿ“Œ 0
Post image

THE GODFATHER

02.10.2025 14:46 โ€” ๐Ÿ‘ 717    ๐Ÿ” 241    ๐Ÿ’ฌ 9    ๐Ÿ“Œ 8
FlyBase Update โ€“ October 2025
The termination of the NIH/NHGRI FlyBase grant has placed the long-term sustainability of FlyBase at risk. However, thanks to the generous support of several key individuals and institutions, we are pleased to announce that FlyBase will remain operational through the coming year. We extend our deepest gratitude to Yukiko Yamashita, Cassandra Extavour, Hugo Bellen, Thom Kaufman, the Genetics Society of America / Drosophila Board, the Bloomington Drosophila Stock Center, an anonymous donor and the Wellcome Trust. We are especially thankful for a generous gift from Seemay Chou, Jed McCaleb, and The Navigation Fund. We also greatly appreciate the continued support from the broader Drosophila community โ€“ your donations and service fees have been vital in helping us stay afloat. Special thanks also go to Jessica Manning for her tireless administrative work at Harvard, to Ruth Lehmann, Hugo Bellen, and Paul Sternberg for advice and efforts, and to the Board of the European Drosophila Society for all their efforts. Sadly, we must also share that several long-standing FlyBase team members have recently moved on. We are immensely grateful to Susan Russo-Gelbart, Lynn Crosby, Gil dos Santos, Kris Broll, Victoria Jenkins, and TyAnna Lovato for their many years of dedicated service and contributions to FlyBase. Looking ahead, ensuring FlyBaseโ€™s sustainability beyond the next year โ€“ and successfully integrating with the Alliance โ€“ will require new funding sources. We kindly ask for your continued support:
	โ€ข	European labs: Please consider contributing to the Cambridge, U.K. FlyBase group
	โ€ข	U.S. and other non-European labs: Please consider contributing to the U.S. FlyBase groups
	โ€ข	Both U.K. and U.S. FlyBase are working diligently to establish an invoicing system. We appreciate your continued patience.
For more information on how to support us, please visit: Contribute to FlyBase wiki page https://wiki.flybase.org/wiki/FlyBase:Contribute_to_FlyBase

FlyBase Update โ€“ October 2025 The termination of the NIH/NHGRI FlyBase grant has placed the long-term sustainability of FlyBase at risk. However, thanks to the generous support of several key individuals and institutions, we are pleased to announce that FlyBase will remain operational through the coming year. We extend our deepest gratitude to Yukiko Yamashita, Cassandra Extavour, Hugo Bellen, Thom Kaufman, the Genetics Society of America / Drosophila Board, the Bloomington Drosophila Stock Center, an anonymous donor and the Wellcome Trust. We are especially thankful for a generous gift from Seemay Chou, Jed McCaleb, and The Navigation Fund. We also greatly appreciate the continued support from the broader Drosophila community โ€“ your donations and service fees have been vital in helping us stay afloat. Special thanks also go to Jessica Manning for her tireless administrative work at Harvard, to Ruth Lehmann, Hugo Bellen, and Paul Sternberg for advice and efforts, and to the Board of the European Drosophila Society for all their efforts. Sadly, we must also share that several long-standing FlyBase team members have recently moved on. We are immensely grateful to Susan Russo-Gelbart, Lynn Crosby, Gil dos Santos, Kris Broll, Victoria Jenkins, and TyAnna Lovato for their many years of dedicated service and contributions to FlyBase. Looking ahead, ensuring FlyBaseโ€™s sustainability beyond the next year โ€“ and successfully integrating with the Alliance โ€“ will require new funding sources. We kindly ask for your continued support: โ€ข European labs: Please consider contributing to the Cambridge, U.K. FlyBase group โ€ข U.S. and other non-European labs: Please consider contributing to the U.S. FlyBase groups โ€ข Both U.K. and U.S. FlyBase are working diligently to establish an invoicing system. We appreciate your continued patience. For more information on how to support us, please visit: Contribute to FlyBase wiki page https://wiki.flybase.org/wiki/FlyBase:Contribute_to_FlyBase

There's an update on the state of FlyBase on the FlyBase.org front page. You can contribute to FlyBase at this link wiki.flybase.org/wiki/FlyBase...
We express enormous gratitude to the people, labs, groups, and foundations who have already helped us.
#FlyBase #Drosophila

03.10.2025 18:19 โ€” ๐Ÿ‘ 42    ๐Ÿ” 42    ๐Ÿ’ฌ 1    ๐Ÿ“Œ 1
The Kahneman Chronicles: Lessons from a Fly Lab - the Node The Kahneman Chronicles #1: When a Nobel Laureate Fixed Our Lab's Scheduling Disasters Daniel Kahneman (1934-2024) was a legendary psychologist who

The Kahneman Chronicles: Lessons from a Fly Lab

Entertaining post from @sameerthukral.bsky.social kicking of a series imagining what would transpire if Daniel Kahnemanโ€”the โ€œgrandfather of behavioural economicsโ€โ€”took a sabbatical and worked in a fly lab. ๐Ÿชฐ

thenode.biologists.com/the-kahneman...

01.10.2025 11:42 โ€” ๐Ÿ‘ 8    ๐Ÿ” 4    ๐Ÿ’ฌ 0    ๐Ÿ“Œ 3
Post image

Your data is lying to you. Hereโ€™s how technical artifacts distort biologyโ€”and how to see the truth. ๐Ÿ‘‡
1/ Beautiful t-SNE? Shiny heatmap?
Look closer.
Technical artifacts can fake whole cell types.
Hereโ€™s where the ghosts hide.

03.10.2025 13:15 โ€” ๐Ÿ‘ 12    ๐Ÿ” 3    ๐Ÿ’ฌ 2    ๐Ÿ“Œ 0

Congratulations @oliviermathieu.bsky.social and colleagues @igred.fr !! #epigenetics #arabidopsis

03.10.2025 17:00 โ€” ๐Ÿ‘ 4    ๐Ÿ” 0    ๐Ÿ’ฌ 1    ๐Ÿ“Œ 0

Lancet editor: "I canโ€™t forgive Bhattacharya and Makary...both know reliable evidence does not exist to restrict paracetamol use during pregnancy...both know evidence linking vaccines to autism simply doesn't exist. What are they doing?"

[politics - that's what]

www.thelancet.com/action/showP...

03.10.2025 15:30 โ€” ๐Ÿ‘ 25    ๐Ÿ” 15    ๐Ÿ’ฌ 1    ๐Ÿ“Œ 1
Video thumbnail

My entry for todayโ€™s #FluorescenceFriday: a pupal #Drosophila testis with muscles expressing
๐Ÿ”ต lifeact &
๐Ÿ”ด RFP-nls

Honored & grateful to receive an honorable mention at @healthcare.nikon.com Nikon Small World ๐ŸŒ๐Ÿ”ฌโœจ

๐Ÿ”— www.nikonsmallworld.com/galleries/20...

#NikonSmallWorld #Microscopy #ScienceArt

03.10.2025 09:06 โ€” ๐Ÿ‘ 212    ๐Ÿ” 40    ๐Ÿ’ฌ 11    ๐Ÿ“Œ 1
Preview
Jane Goodall, Eminent Primatologist Who Chronicled the Lives of Chimps, Dies at 91

Jane Goodall, RIP

www.nytimes.com/2025/10/01/o...

01.10.2025 18:29 โ€” ๐Ÿ‘ 635    ๐Ÿ” 119    ๐Ÿ’ฌ 9    ๐Ÿ“Œ 20

RIP Jane Goodall, by all accounts a wonderful woman who loved this Far Side cartoon

01.10.2025 18:09 โ€” ๐Ÿ‘ 3166    ๐Ÿ” 727    ๐Ÿ’ฌ 27    ๐Ÿ“Œ 17
The recombination frequency (cM/Mb) along chromosome 4 of A. thaliana (female meiosis). 

In full hybrids (grey), where polymorphism is distributed all along chromosomes, most crossovers occur in the regions surrounding the Centromere (Cen), and very few at chromosome ends (Tel: telomeres). 

In lines where polymorphism is restricted to chromosome ends (purple), the local recombination rate increases drastically, at the expense of the non-polymorphic regions (yellow).

The recombination frequency (cM/Mb) along chromosome 4 of A. thaliana (female meiosis). In full hybrids (grey), where polymorphism is distributed all along chromosomes, most crossovers occur in the regions surrounding the Centromere (Cen), and very few at chromosome ends (Tel: telomeres). In lines where polymorphism is restricted to chromosome ends (purple), the local recombination rate increases drastically, at the expense of the non-polymorphic regions (yellow).

๐Ÿšจ First pre-print from my team !!

TL;DR: presence of polymorphism (sequence differences between the homologous chromosomes) can *increase* the local rate of recombination in Arabidopsis thaliana, turning cold regions of the genome hot (purple v. grey) !

01.10.2025 08:31 โ€” ๐Ÿ‘ 43    ๐Ÿ” 16    ๐Ÿ’ฌ 3    ๐Ÿ“Œ 5
Preview
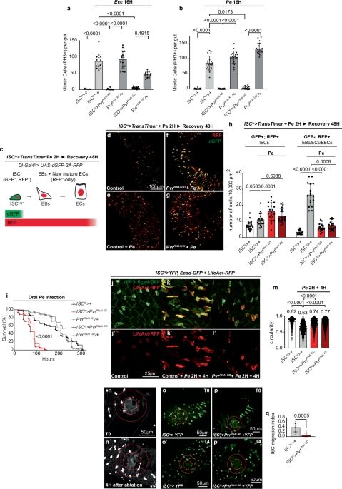
Pvf1-Pvr-mediated crosstalk between trachea and gut guides intestinal stem cell migration to promote gut regeneration - Nature Communications Adult stem cells often reside in specialized niches that they exit upon injury. Here they show that in Drosophila, after damage the gut-associated trachea produces the PDGF-VEGF-related ligand Pvf1, which acts as a guidance cue directing ISC migration toward injury sites.

Excited to share our last paper describing how intestinal stem cell migration promotes gut regeneration!
www.nature.com/articles/s41...

29.09.2025 20:04 โ€” ๐Ÿ‘ 14    ๐Ÿ” 8    ๐Ÿ’ฌ 7    ๐Ÿ“Œ 1
Post image

HANNAH ARENDT: โ€œBefore mass leaders seize the power to fit reality to their lies, their propaganda is marked by its extreme contempt for facts as such, for in their opinion fact depends entirely on the power of man who can fabricate it.โ€ โ€• from 'The Origins of Totalitarianism' (1951)

28.09.2025 17:32 โ€” ๐Ÿ‘ 43    ๐Ÿ” 19    ๐Ÿ’ฌ 0    ๐Ÿ“Œ 0
Post image

Thanks to the organisers and all attendants for this great meeting #EDRC2025 . See you in Bonn! #drosophila #edrc2027

28.09.2025 10:40 โ€” ๐Ÿ‘ 22    ๐Ÿ” 3    ๐Ÿ’ฌ 0    ๐Ÿ“Œ 0
Post image Post image Post image

The 2025 General Assembly is now on at #EDRC2025

27.09.2025 11:41 โ€” ๐Ÿ‘ 7    ๐Ÿ” 4    ๐Ÿ’ฌ 1    ๐Ÿ“Œ 0
Post image

#edrc2025 European #drosophila Society meeting announces the 2029 meeting location : see you all in Szeged (and Bonn in 2027 of course)!

27.09.2025 11:46 โ€” ๐Ÿ‘ 20    ๐Ÿ” 7    ๐Ÿ’ฌ 0    ๐Ÿ“Œ 0

Dear JEDIs,
as we are self-organizing using the #EDRC as a nucleator we decided it is time for a JEDI database to boost our network! If you identify as a JEDI, please contact us here or send a mail to katja.rust@uni-marburg.de to be added to our database.
#Drosophila
@fly-eds.bsky.social

26.09.2025 15:43 โ€” ๐Ÿ‘ 33    ๐Ÿ” 28    ๐Ÿ’ฌ 4    ๐Ÿ“Œ 1
Post image Post image

Full house at #EDRC2025 #Drosophila

25.09.2025 16:15 โ€” ๐Ÿ‘ 8    ๐Ÿ” 1    ๐Ÿ’ฌ 0    ๐Ÿ“Œ 0
Post image

After a busy morning of workshops, let's officially start the #edrc2025 #drosophila !

25.09.2025 16:07 โ€” ๐Ÿ‘ 8    ๐Ÿ” 0    ๐Ÿ’ฌ 0    ๐Ÿ“Œ 0

@lucaswaltzer is following 20 prominent accounts