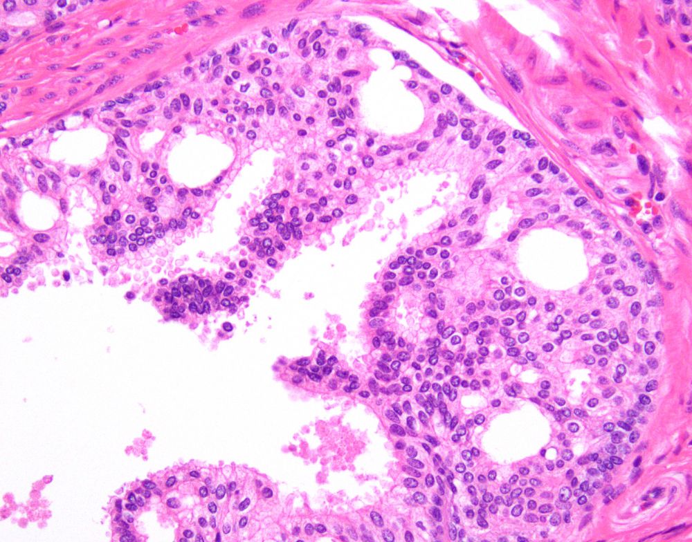
FNA of solid pancreatic head mass.
What do these cells represent?π§π§
A) Acinar cell carcinoma
B) Neuroendocrine tumor 
C) Pancreatoblastoma
D) Solid pseudopapillary neoplasm
#PathSky #Pathology  #GIPath #CytoPath
@drchuanchen.bsky.social
π¬ PGY2 AP/CP resident @ Mayo Clinic π©Έ #Pathology #Hemepath 𧬠#MDS #Lymphoma #NGS π@CAPA Online Education πΊ YouTuber https://youtube.com/@dr.chuanchen π@UnivMiami @NimerLab alumnus ππ»ππ»Hiking πͺ΄πͺ΄Planting
FNA of solid pancreatic head mass.
What do these cells represent?π§π§
A) Acinar cell carcinoma
B) Neuroendocrine tumor 
C) Pancreatoblastoma
D) Solid pseudopapillary neoplasm
#PathSky #Pathology  #GIPath #CytoPath
Had a great time presenting our lymphoid #NGS work at #USCAP and connecting with so many hematopathologists, including the CAPA group! Grateful for all the support and encouragement! #hemepath #Boston
31.03.2025 03:27 β π 2 π 0 π¬ 0 π 0#slidearchiveseries history of DLBCL s/p chemotherapy with residual retroperitoneal lymphadenopathy, s/p radiation therapy for bulky cauda equina leptomeningeal disease, now for management of prostate abscess #gupath #malakoplakia
29.03.2025 14:35 β π 10 π 4 π¬ 0 π 0So pretty π
29.03.2025 22:08 β π 1 π 0 π¬ 1 π 0Sharing our sincere appreciation and gratitude for our #Pathology residents & fellows! Thank you for your unwavering dedication and invaluable contributions to our special learning community ππ
28.02.2025 22:16 β π 2 π 1 π¬ 0 π 0We can't wait to see everyone this weekend at #USCAP2025! Getting excited for Boston!
19.03.2025 22:08 β π 6 π 6 π¬ 0 π 0TTF1
#PathSky 84M with lung nodule, signed out as βadenocarcinoma, favor pulmonary originβ. There is supposed to be a bit of TTF1 expression, but it is subtle to say the least.
18.03.2025 18:40 β π 15 π 8 π¬ 1 π 1#PathSky Slowly growing superficial leg mass, 38M. Well-circumscribed, phleboliths, thrombosed vessels, cellular spindle cell areas, cavernous vascular channels. Dx?
05.02.2025 18:56 β π 18 π 9 π¬ 1 π 0#PathSky 79M with a superficial neck mass. Wildly pleomorphic, quite cellular- undifferentiated pleomorphic sarcoma, right? There are basically no mitoses though, the cells have abundant granular-glassy cytoplasm, there is a lot of inflammation, and many bizarre cells have nuclear inclusions.
05.02.2025 19:07 β π 21 π 10 π¬ 1 π 0#PathSky Older adult with a large, prolapsing esophageal mass. An excellent example of a βgiant fibrovascular polypβ of the esophagus. Except that essentially 100% of these turn out to be well-differentiated ( or less often dedifferentiated) liposarcomas. 
pubmed.ncbi.nlm.nih.gov/28984298/
Thanks for your support, Yi π
06.01.2025 04:39 β π 0 π 0 π¬ 0 π 0Kicking off 2025 with my second YouTube series: Hematopathology Case Collection. The first case explores hyaline vascular Castleman Disease, stromal-rich variant with indolent T-lymphoblastic proliferation. Check it out here: youtu.be/T_1ByEJeWXM?...
05.01.2025 21:15 β π 5 π 1 π¬ 0 π 1CD31
ERG
CAMTA1
#PathSky This one definitely needs more than 4 images, so go to the Comments too. 65F, iliac crest lesion. The original pathologists quite reasonably considered an epithelioid hemangioendothelioma, although it was CAMTA1-negative.
23.12.2024 22:45 β π 14 π 6 π¬ 1 π 0Just learned about bluesky! For a first post, here is an image of ductal type prostate cancer. Diagnostic criteria can be controversial but common features are columnar cells and papillary structures. Typically considered grade 4. #GUpath
12.12.2024 16:24 β π 11 π 5 π¬ 2 π 0Smear preparation of a meningioma with chordoid features
Permanent section of a chordoid meningioma showing focal whorl formation
Smear preparation of a chordoma
Permanent section of a chordoid highlighting the cords of tumor cells in a myxoid background
Some tumor look-a-likes on this Friday:
Chordoid meningioma and chordoma can share similar features of cords of cells in a myxoid background. Chordoma shows diffuse nuclear Brachyury expression whereas chordoid meningioma is positive for SSTR2 helping to differentiate the two π§  #pathsky #neuropath
Kidney pathology in an autopsy case for decompensated cirrhosis. Patchy bile cast nephropathy (brown casts; green on Hall's bile stain) and a Randall plaque (papillary tip nephrocalcinosis). #renalpath #nephrology #pathsky #nephsky
30.11.2024 16:29 β π 40 π 13 π¬ 2 π 0Central Zone glands #prostate #gupath #PathSky
πcomplex architecture
πstratified eosinophilic cytoplasm
πprominent basal cell layer
πintra-luminal bridges ("Roman arches")
πmimic high grade PIN
πRule ofππ»: in NB from mid gland-base, have higher threshold for diagnosing HGPIN & r/o normal anatomy!
S100
OCT2
#PathSky
Scalp mass, 33M. Just a nice example of soft tissue Rosai-Dorfman disease. I think this low power βpale->pink->blueβ look is a good low power clue. In addition to S100 protein, Karen Rechβs group here at Mayo have shown OCT2 to be valuable in this dx. pubmed.ncbi.nlm.nih.gov/33177341/
Keratin
SMARCB1
#PathSky Hand mass, 32M. Bland spindle cell tumor with collagen trapping- just an FH, right? Also some less bland epithelioid areas. This is a predominantly spindled epithelioid sarcoma- βmodulationβ from epithelioid to spindled cells is an under appreciated morphological hallmark. See Comment.
22.11.2024 14:48 β π 27 π 9 π¬ 4 π 2KIT
CD31
#PathSky
I try not to talk about it, but sometimes I look at bone cases. Lytic sacral lesion, 69M. Among the many IHC it was sent with, CD31 and KIT were diffusely positive, but other endothelial and GIST markers were negative. Dx? Anything else youβd like?
Acute promyelocytic leukemia, Giemsa stain
#pathsky #medsky #pathology #oncology #hemepath
Vegetable matter as seen in a fatal case of aspiration pneumonia π¬
#thingsthatkill #autopsy #microscopy #PathSky #MedSky
Ok, my third attempt at a first post. I like surgical pathology and sharing cases. 
New genetic promiscuity. Superficial neurocristic EWSR1::FLI1 fusion tumor. Same fusion as Ewing sarcoma but benign. There is life in this whole morphology thing yet. 
pubmed.ncbi.nlm.nih.gov/38866368/
#PathSky
Hybrid tumor: Oncocytoma and Chromophobe Renal cell Carcinoma! #GUpathsky #pathsky #pathology #surgicalpathology #pathart #Nephsky
20.11.2024 00:18 β π 20 π 5 π¬ 2 π 0Ameloblastoma (follicular type), mandible, H&Es, 20x and 40x: Epithelial nests with a peripheral layer of columnar cells showing "palisading" and "reverse polarity", surrounding a central area resembling the βstellate reticulumβ of a developing tooth! #pathology #pathsky #surgicalpathology #pathart
20.11.2024 03:29 β π 25 π 5 π¬ 0 π 0Cytokeratin 7 immunohistochemical stain
Chromophobe renal cell carcinoma (ChRCC), kidney, H&Es, 20x and 40x, CK7, 20x: Plant-like tumor cells - Vimentin negative; CK7 and C-Kit positive! 
#pathology #pathsky #surgicalpathology #renalpathology #renalcellcarcinoma #renalpathology #RCC #kidneypathology #ChRCC #pathart
 
                
            Columbia Virology course by Vincent Racaniello for free on youtube youtube.com/watch?v=GEC3...
16.11.2024 19:51 β π 2 π 1 π¬ 0 π 0@doctoryizhu.bsky.social @drchuanchen.bsky.social π
16.11.2024 17:08 β π 1 π 0 π¬ 0 π 0I havenβt seen a #pathsky starter pack yet! Iβve tried to keep up with all of the new pathologists joining, but I know I have missed many! Please tag yourselves/others below and I will follow them and add them π @kmirza.bsky.social @clilleymd.bsky.social @brettkurpiel.bsky.social go.bsky.app/6bWDSjT
13.11.2024 21:03 β π 48 π 24 π¬ 33 π 2Hello π , I am Chuan joining #PathSky ππ¬
16.11.2024 01:41 β π 7 π 1 π¬ 0 π 0